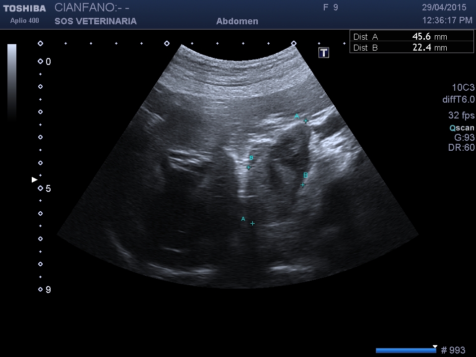
Buldog femmina di nome Giorgia durante un controllo di routine si visualizza una massa surrenalica destra con aspetti di invasione cavale . Giorgia sta bene nessun sintomo .
L’invasione cavale puo’ essere di tessuto neoplastico o iniziale formazione di un trombo.




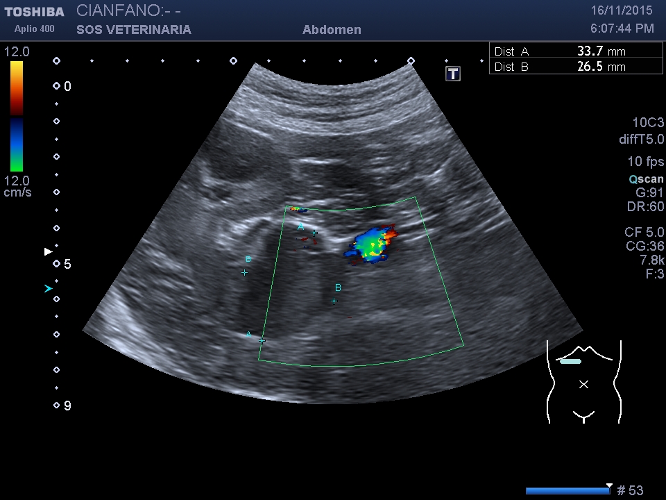
Eseguita ceus e tac
Si conferma l’invasione neoplastica
le informazioni della TAC sono di gran lunga piu’ esaustive della Ceus
Sconsiglio la metodica Ceus per questo tipo di problematiche ,tesorizzare i soldi del cliente con un angio tac che apporta tutte le informazione per le strategie terapeutiche successive.
Il paziente ha avuto effetti collaterali secondari alla somministrazione del contrasto ceus e del contrasto tac (polipnea durata due ore)

Giorgia non e’ stata operata, sulla base dei dati raccolti in bibliografia e sulla mia esperienza il rischio dell’intervento era troppo elevato e si e’ deciso per il no.
Allego un articolo scritto dal professor Buracco
Veterinaria APRILE 2015 art 194
uno dei massimi esperti di chirurgia oncologica ricco di informazioni che mi ha aiutato nel prendere una decisione .
L’intervento tecnicamente e’ possibile eseguendo una venotomia della cava e asportando piu’ possibile i trombi neoplastici ma il rapporto rischio benefici depone sfavorevolmente in un paziente che gode di ottima saluta senza per’altro segni di iperadrenocorticismo .
Giorgia a distanza di circa 8 mesi sta bene e non manifesta ipercorticosurrenalismo rilevabile sul piano di laboratorio,solo ultimamente la proprietaria riferisce ad un aumento dell’appetito ma il rapporto Cortisolo/creatinina urinaria rimane normale e la stessa fosfatasi alcalina ha solo live segni di spostamento ,nessuna PU PD osservabile.