Ostruzione delle vie biliari extraepatiche nel Gatto

L’ostruzione delle vie biliari extraepatiche nella specie felina e’ abbastanza comune ,purtroppo raramente la causa e’ una calcolosi se non come eccezione che conferma la regola . L’ecografista deve conoscere molto bene l’anatomia molto complessa della zona  e consiglio senza indugio la sedazione per eliminare gli artefatti comuni con il movimento del paziente (salvo ovviamente le naturali eccezioni di soggetti docilissimi)

Rispetto all’esame TAC l’esame ecografico se ben eseguito e con agoaspirato delle masse e delle colture biliari apporta le  le informazioni necessarie per una corretta diagnosi . Non operare mai una via biliare senza diagnosi e senza la dovuta preparazione  , ,nella stragrande maggioranza dei casi ,visto le dimensioni dei nostri pazienti trattasi di chirurgia plastica o chirurgia degli stent .

La tac su una via biliare di 2-4 mm non ha il potere risolutivo di una sonda da 18 mhz ( in un  gatto puo’ arrivare a scansionare la parte per la minore profondita’ rispetto al cane con un ottimo rapporto tra penetrazione e risoluzione ) certamente fornisce le indicazioni generali vascolari e organiche a completamento del caso  ma se l’ecografista vede una massa,  con un ago bisogna entrare ne piu’ ne meno come nella TAC altrimenti sono solo parole. Ricordo un cliente medico che dirotto’  il suo gatto (scambiandolo per un uomo dove il passo e’ obbligato)  a fare una tac dopo che la mia ecografia aveva rilevato una massa di circa 1 cm  che ostruiva il coledoco ,il radiologo scambio’  la calcificazione della massa per un calcolo e ricevette le bestemmie del chirurgo a cui aveva affidato questo caso.(errore del radiologo ,TAC veterinarie ad 8 strati insufficienti nella risoluzione? non credo che questo abbia molta importanza  e rilevanza se l’ecografia e’ in grado di vedere.

In questo caso una buona ecografia aveva fornito una diagnosi esatta a basso costo . Insomma la diagnostica per immagine si ferma a mio avviso quando la lesione si vede vedere diversamente almenio in questi casi  serve a poco  .si deve andare avanti con la citologia ,segue il campionamento laparoscopico e la meno elegante ma non per questo superata vecchia e cara laparotomia esplorativa (sempre dopo aver escluso  l’escludibile e con i strumenti per risolvere l’ostruzione .

La Tac  dovrebbe indicarla l’ecografista che e’ e rimane uno specialista di diagnostica per immagini.

Purtroppo i gatti con ostruzione delle vie biliari sono itterici e in cattive condizioni generali  non abbiamo molto tempo a disposizione sopratutto se se sono chirurgici la diagnosi va ricercata assolutamente

 

Seguono casi di ostruzione delle vie biliari con patologie differenti

 

Caso 1

:COLANGIOCARCINOMA

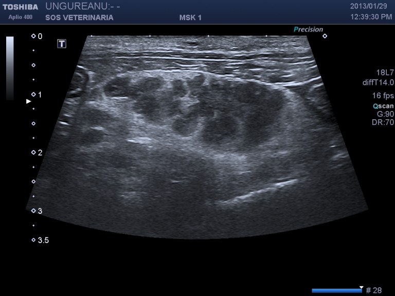
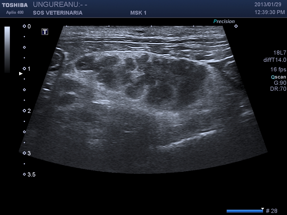
Gatta comune europea 16 aa DSC_8846

 

 

 

 

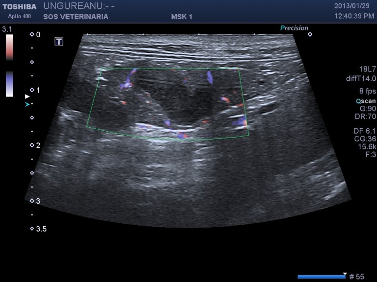
evidente la severa  dilatazione delle vie biliari intraepatiche( visualizzabile nelle fasi piu’ avanzate dei processi cronici) ,la massa prende origine dal  coledoco e ha generato nel corso della malattia una progressiva distenzione delle vie biliari extraepatiche che raggiungono gradi di dilatazione abnormi e rimangono riconoscibili per la parete ispessita , come in questo caso possono essere presenti calcoli o calcificazioni della massa .

.Nonostante la gravita’ del processo il soggetto ha convissuto con la malattia diversi mesi

 

Caso 2

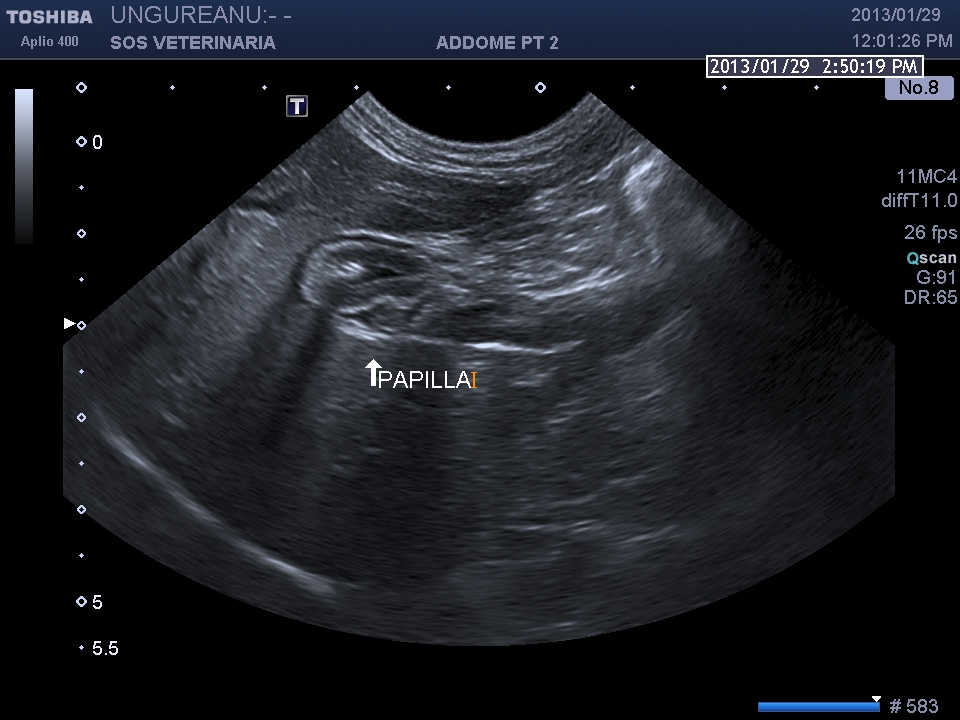
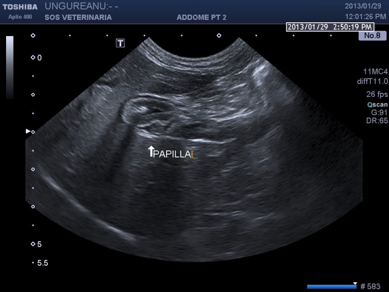
PROCESSO INFILTRATIVO DUODENALE E DELLA PAPILLA  (infiammatorio o neoplastico)

gatto comune europeo 9 aa ABC_8738

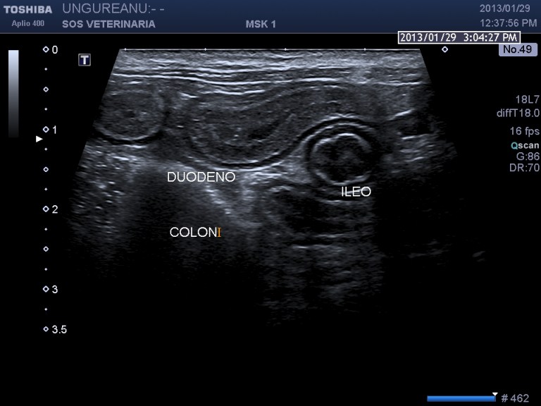
Le vie biliari del gatto hanno caratteristiche diverse rispetto al cane il dotto pancreatico principale raggiunge il coledoco  prima che questo defluisca nella papilla duodenale maggiore (nel cane lo sbocco e’ indipendente) ,inoltre il dotto accessorio  sfocia nella papilla minore ,un processo ostruttivo distale porta quindi a distensione  di entrambe le componenti  ,l’iperplasia della parete delle vie biliari  puo’ essere indicativa di flogosi o di cronicita’ dell’ostruzione  (in questo caso la parete e’ normale) ma come sopraesposto la diagnosi richiede spesso invasivita’ ,questo caso purtroppo  non ha seguito nessuna diagnosi ,il soggetto non ha risposto alla terapia cortisonica (l’unica che ha voluto tentare il proprietario) e antibiotica e si e’ perso nel foll’up, Una laparotomia esplorativa con campionamento del tessuto iperplastico  e coltura biliare era a mio avviso unica opzione possibile per una corretta diagnosi .

Il caso si mostra interessante sul piano dell’imaging che evidenzia la complessita’ delle vie biliari extraepatiche e pancreatiche dilatate.

Seguono  note tecniche riscontrate in letteratura  :

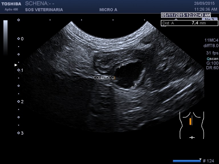
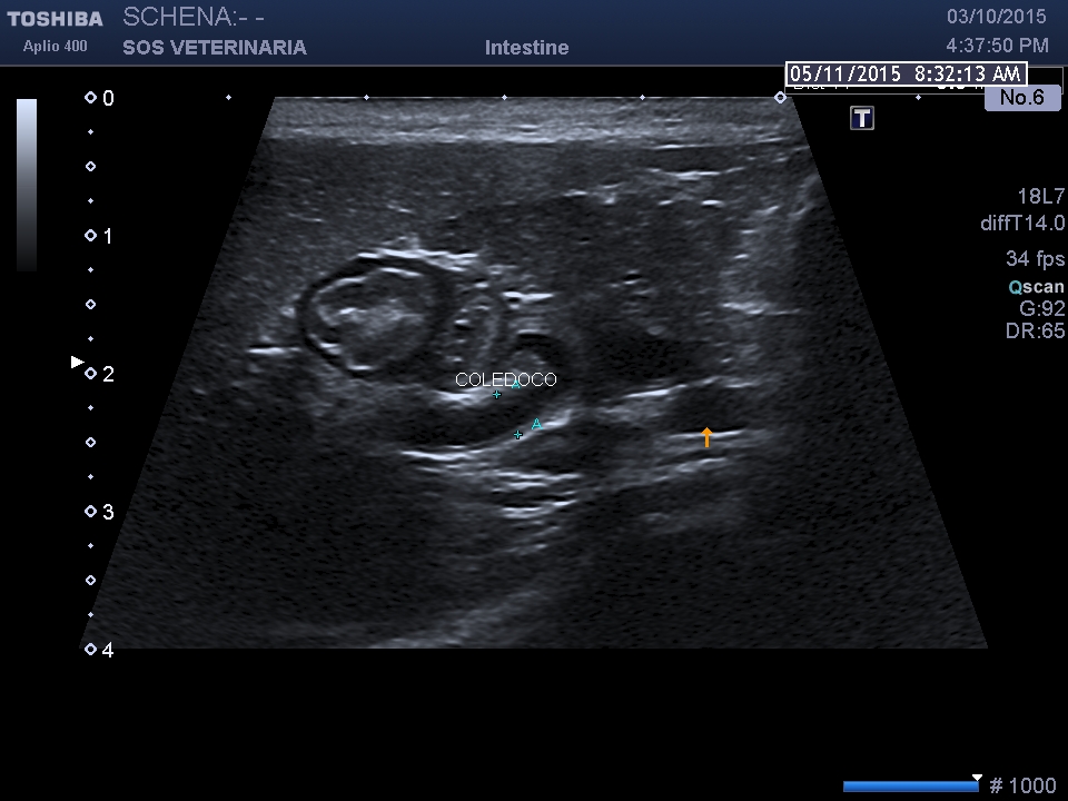
“Diverse scansioni possono essere utilizzate allo scopo di visualizzare le vie biliari extraepatiche: attraverso sezioni trasversali ed oblique a livello dell’11°-12° spazio intercostale destro, tramite scansioni ventrali longitudinali e trasversali, o attraverso la scansione cranioventrale obliqua destra (Santilli R.A. e coll., 1993; Léveillé R. e coll., 1996). Come per il condotto cistico, nella valutazione ecografica del coledoco è possibile osservare: -il diametro, che nei soggetti sani risulta ≤ 4 mm nel gatto, mentre nella specie canina misura 1-3 mm; -la forma; -il contenuto; -l’ecogenicità e lo spessore della parete (Gaillot H.A. e coll, 2007; Léveillé R. e coll, 1996; Brinkman-Ferguson E.L. e coll., 2009).

Durante l’esame delle strutture biliari può venire identificata la papilla duodenale le cui dimensioni, nei gatti sani, variano dai 2,9 a 5,5 mm in larghezza ed una massima altezza di 4,0 mm, in sezione trasversa; nel cane le sue dimensioni sembrano essere maggiormente variabili, in relazione alle differenze di peso e di razza (Center S.A., 2009).”

unnamed


scansione trasversale papilla

 

scansione sagittale paipilla

 

 

 

 

 

 

 

caso 3

INFILTRAZIONE NEOPLASTICA PERITONEALE 

Gatta comune europea di 14 aa

infiltrazione diffusa perironeale di immunoblasti ,ispessimento  mucosa intestinale-dilatazione coledoco -dotti pancreatici-calcolosi biliare intra epatica ed extraepatica

IMG_20151014_160651

In questo caso clinico le alterazioni dell’imaging sono rilevanti e innumerevoli ,la presenza di ecostrutture iperplastiche linfonodali diffuse  e la citologia delle stesse ha rilevato infiltrazione di immunoblasti ,non e’ stato possibile andare oltre per la volonta’ del cliente .

Rispetto il precedente caso la paipilla duodenale  e’ normale nella forma e nelle dimensioni ,sebbene affetto da calcolosi non si visualizzano calcoli nel coledoco o a livello della papilla che giustifichino la dilatazione delle vie biliari extraepatiche e pancreatiche  ,colpisce l’ispessimento del duodeno (5 mm contro un v.n. di 2,5 )  l’ectasia del dotto pancreatico, la stasi del succo pancreatico  e la diffusa presenza di strutture nodulari isolate o confluenti riferibili tessuto linfatico iperplastico  con un infiltrato di immunoblasti predominante .

La distensione delle vie biliari e pancreatiche puo’ essere secondaria al processo infiltrativo duodenale o a complicanza infiammatoria -settica comune nella specie felina (vedi triatide)  ,le interazioni sono molteplici ,la stessa calcolosi risulta severa con aspetti di colastasi intraepatica. Questo soggetto avrebbe avuto bisogno di approfondimenti e da destinarsi ad approfondimenti oncologici ,purtroppo anche in questo caso i proprietari non hanno voluto dar seguito al naturale iter diagnostico e terapeutico che il caso imponeva .

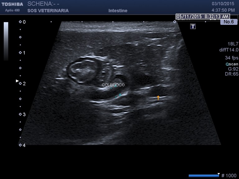
dilatazione del coledoco che decorre rettilineo
dotto biliare e vena porta dotto pancreatico ectasico  duodeno
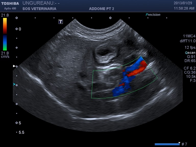
I201301291510410059 I201301291510490067 I201301291511100079   
masse infiltranti peritoneali diffuse -linfonodali compatibili
mucosa duodenale incremento ecogenicita' pancreas e dotto ectasico principale

 

 

Caso 4

PROCESSO INFIAMMATORIO COLEDOCO E COLECISTE FORMAZIONE DI UN DIVERTICOLO ED ECTASIA DOTTO PANCREATICO 

 

 

shena foto

Gatta comune europea vive fuori e dentro casa pportata alla visita per anoressia e depressione rilevato ittero clinico

analisi evidenziano un quadro infiammatorio e un significativo rialzo delle transaminasi e della bilirubina compatibile con un ittero epatico o preepatico

20150925_SOS_schena_Bio_15I3556

20150925_SOS_schena_Emo_15I3556

immagine 1 terapia (1)

 

immagine 2 terapia

 

 

 

 

evidente la dilatazione e l’ispessimento   della parete  a carico di coleciste e coledoco con   formazione presfinterica di un ampolla ectasica simil diverticolo probabilemente secondaria alla cronicita’ del processo ,non si evidenziano ostacoli calcolotici o neoformazioni occludenti  il deflusso intra o extraluminali e a livello della papilla , il pancreas si presenta omogeneo ipoecogeno iperplastico trama vasale  ben evidenziabile .

Una  terapia di lunga durata con prednisolone alla dose di 0,5 mg/Kg sid comninata con marbofloxacillina e metronidazolo ha portato  dopo 4 settimane a risoluzione clinica e di laboratorio e ad un notevole miglioramento dell’imaging ,permane a distanza di 2 mesi  l’ectasia del dotto pancreatico e mofificazioni preampollari del coledoco con grado di distensione molto ridotto. Si e’ concluso  per un processo infiammatorio  possibile complesso colagioepatie ibd pancreatite (triatide)  con fenomeni iperplastici e fibrotici  a livello della papilla duodenale  e stenosi parziale del deflusso intraparietale duodenale ,tuttavia l’assenza di esami istopatologici non permette conclusioni certe eziopatogenetiche se non le evidenze riscontrate durante il decorso. Dopo due mesi il paziente alla sospensione dei farmaci mantiene la remissione.

DOPO 4 SETTIMANE DI TERAPIA ANTIBIOTICA E CORTICOSTEROIDEA

dopo 4 settimane di terapia2

 

 

 

 

 

20151020_SOS_schena_Emo_15L2726

20150925_SOS_schena_Bio_15I3556

Un pensiero su “Ostruzione delle vie biliari extraepatiche nel Gatto

Lascia un commento