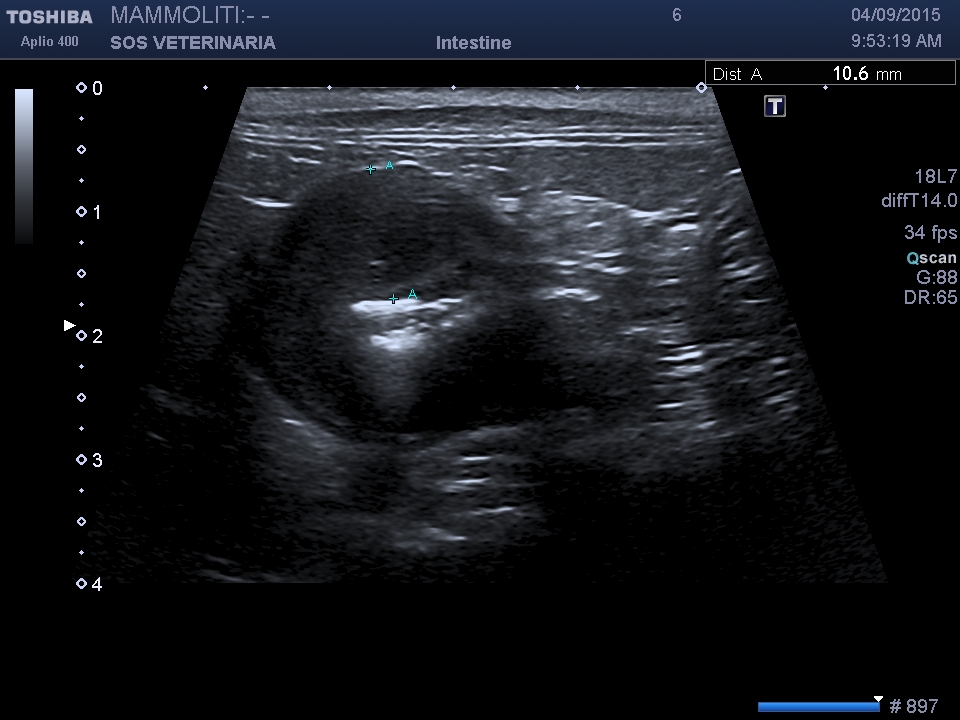
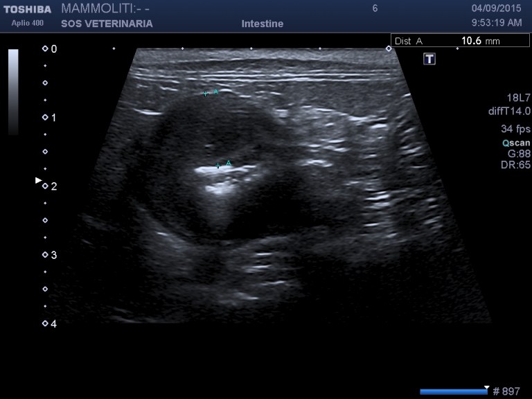
linfoma gastrico

gatta, comune europea,7 anni , emesi ricorrente da diversi mesi ,analisi del sangue nulla di significativo ,alla palpazione profonda dell’addome si avvisava sensazione di duro a livello gastrico ,l’esamo ecografico normalmente poco scarsamente sensibile e specifico per le patologie gastriche ,in questo caso, molto avanzato, ha evidenziato l’ispessimento della parete,  eseguita il giorno dopo la gastroscopia  ha confermato purtroppo la diagnosi ,

questi pazienti possono rispondere parzialmente agli antigastric e alle cure sintomatiche , ritardando purtroppo la diagnosi, non dobbiamo quindi  indugiare di fronte all’emesi ricorrente non rispondente al cambio di dieta, nellapprofondire con eco e gastro.

scansione trasversale
scansione trasversale
sezione sagittale
sezione sagittale

Un pensiero su “linfoma gastrico

Lascia un commento