La stenosi polmonare (SP) è uno dei tre difetti cardiaci congeniti più comuni nel cane ed interessa l’apparato valvolare polmonare. Nella maggior parte dei casi la stenosi polmonare si presenta in forma isolata. A volte può essere associata ad altre malformazioni cardiache congenite quali il difetto interatriale, il difetto interventricolare o in una sua forma molto particolare rappresenta un componente del complesso malformativo della Tetralogia di Fallot.

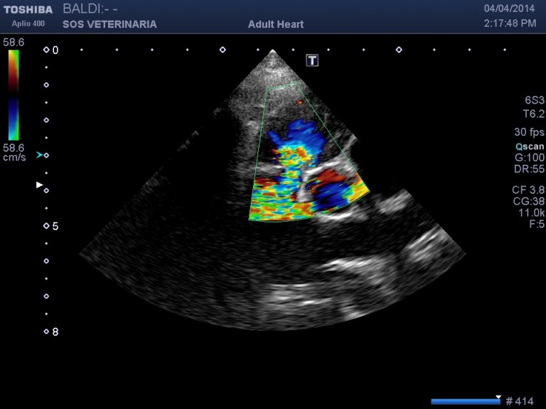
parasternale desta asse corto
Anatomicamente la stenosi polmonare può essere classificata come sopravalvolare, valvolare, sottovalvolare. Di queste tre forme la stenosi polmonare valvolare è quella più frequente e può essere a sua volta suddivisa in due fenotipi: tipo A (anulus normale , doming dei lembi valvolari e dilatazione poststenotica) )e tipo B. (anulus ipoplastico ,lembi rudimentali ,assenza di dilatazione post)
Nel buldog inglese ma anche in altre razze (es Boxer) la stenosi polmonare puo’ essere provocata da una anomalia coronarica che genera una forma di stenosi sottovalvolare .E’ importante riconoscere tale anomalia in quanto il trattamento di valvuloplastica non solo e’ inutile ma anche controindicato per il rischio di morte (ischemia e avulsione della coronaria)

parasternale destra asse corto zoom
In questa malformazione, una grande arteria coronaria singola origina dal seno aortico coronario di destra dividendosi subito nelle branche di destra e sinistra. L’arteria coronaria principale di sinistra circonda e comprime il tratto d’efflusso ventricolare destro appena sotto la valvola polmonare, prima di dividersi nelle arterie coronarie discendente di sinistra e circonflessa di sinistra.

parasternale craniale sx asse corto ottimizzata per il tratto di efflusso destro
Sul piano ecocardiografico non e’ facile emettere diagnosi, raramente con la tradizionale ecocardiografia toracica si riesce a vedere la coronaria anomala ,contrariamente all’esame transesofageo a cui bisogna ricorrere nei casi fortemente dubbi prima di eseguire la valvuloplastica.
Questo Buldog di nome Ettore e’ stato presentato alla visita con soffio sistolico all’eta’ di tre mesi ed episodi di broncopolmonite ricorrente scarsamente responsiva alla terapia ,dall’esame ecocardiografico a mio avviso rientra in una diagnosi di anomalia della coronaria destra ed e’ stato deciso solo per il trattamento con beta bloccanti .
Nella visione delle immagini e dei filmati richiamo l’attenzione ad alcuni criteri di semplice reperibilita’ che portano la diagnosi verso questa anomalia :
- imponente il grado di ipertrofia concentrica ventricolare destra con gradienti molto elevati superiori ai 100 mmHg (anche 160mmHg),il cuore ha subito fin da subito un necessario rimodellamento alla condizione
- L’anello stenotico e’ sempre piccolo
- difficilmente si visualizzano i lembi valvolari in quanto il restringimento dell’anulus generato dal passaggio della coronaria impedisce la loro apertura ,in transtoracica si possono visualizzare dritti come canne al vento
- nelle scansioni in cui si intravedono i lembi valvolari nessun effetto doming appare visualizzabile( come nella stenosi polmonare classica di tipo A)
- invece di lembi valvolari si visualizza un cordoncino simil fibroso il diametro della stenosi e’ sempre piccolo
Non esistono trattamenti , i beta bloccanti possono aiutare a ridurre i rischi di morte improvvisa