Cucciolo femmina di Rottweiler 60 gg di eta’ soffio di forte intensita’ sistolico ascultabile in tutti i quadranti ,meglio nel IIo spazio intercostale a destra dello sterno. ,polso di difficile rilievo piccolo e celere,ritardato accrescimento rispetto ai fratelli, battiti ectopici, nessuna sintomatologia sincopale evidenziata.
Fattrice acquistata in Germania ,padre di origine italiana sono stati avvisati i rispettivi allevatori della presenza di questa grave cardiopatia congenita e sono in corso ricerche per stabilirne per quanto sia possibile l’origine genetica .
Seguono le linee guida proposte dalla Cardiec (Associazione Cardiologi ed Ecografisti clinici Veterinari )
Linee guida screening stenosi subaortica (sas) (Cardiec)
http://www.osservatorioveterinariocardiopatie.com/linee/Stenosi%20Aortica%20(SAS)-1.doc
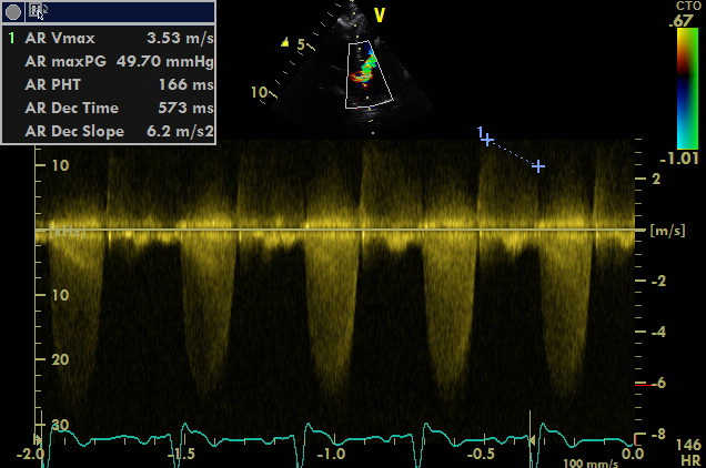
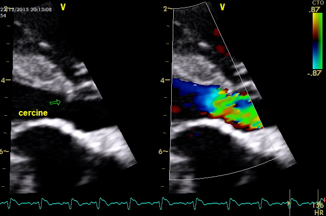
come si puo’ notare dai particolari nelle immagini zoom la struttura valvolare appare integra con una normale conformazione delle cuspidi la turbolenza e’ generata da una piccola banda fibrosa sottovalvolare ,in questo caso a dispetto delle alterazioni minime visualizzabili nell’esame B mode la stenosi sulla base del gradiente appare severa ,il PHT inferiore ai 300mm/sec dell’insufficienza aortica che quasi sempre accompagna la stenosi indica pressioni diastoliche nel ventricolo sx elevate
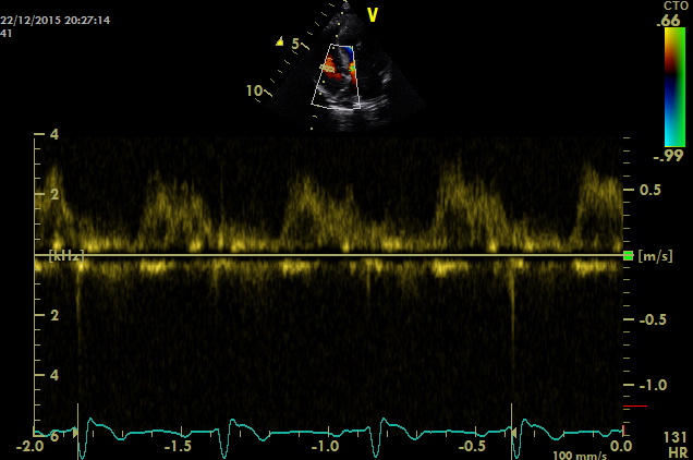
I difetti possono coesistere in questo caso la polmonare e’ normale ,nei primi video si ha la sensazione che coesista un DIV (flusso in avvicinamento concomitante la sistole tuttavia le differenze di gradiente sono troppo elevate tra camera destra e sx dovrebbe generarsi turbolenza che non si vede ,il soggetto deve essere comunque ricontrollato .
doppler transmitralico e tricuspidale: le onde della mitrale sono piu’ alte per l’eta’ del paziente e quasi si equilibrano
Classificazione anatomica ed ecocardiografica della stenosi subaortica La classificazione anatomica della stenosi subaortica del cane accettata in tutto il mondo è quella proposta da Pyle-Patterson, la quale descrive tre classi di gravità che corrispondono molto bene alla classificazione ecocardiografica utilizzata in ecocardiografia umana per la stessa patologia:
– Classe 1: l’endocardio del setto interventricolare si presenta ispessito e forma piccoli noduli (1-2 mm); talvolta questi piccoli noduli sono presenti anche sulla superficie inferiore dei lembi aortici. Questa lesione corrisponde alla stenosi suboartica discreta della classificazione ecocardiografica (tipo 1).
– Classe 2: l’endocardio sottovalvolare presenta un ispessimento fibroso sottovalvolare che riveste quasi completamente il tratto di efflusso, partendo dalla base del lembo anteriore mitralico e si estende al setto interventricolare. Questa forma corrisponde, nella classificazione ecocardiografica, all’ostruzione ad anello fibroso (tipo 2)
– Classe 3: la proliferazione endocardica sottovalvolare forma un restringimento di tutto il tratto di efflusso in senso circonferenziale e per tutta la sua lunghezza. Questa lesione, in ecocardiografia, viene classificata come stenosi subaortica a tipo tunnel (tipo 3).Seguendo la classificazione di Pyle la morfologia di questo caso non appare inquadrabile del tutto in quanto non si visualizzano noduli e neanche un ispessimento fibroso che riveste “quasi del tutto” il tratto di efflusso ,il cercine appare limitato al tratto prevalvolare .Bisogna considerare che la stenosi sub-aortica e aortica sono propagate nelle razze e nelle famiglie con base genetica; tuttavia non si conoscono completamente le modalità di trasmissione. Possiamo dire che non è propriamente una malattia congenita perché le lesioni possono non essere presenti alla nascita o, in qualunque caso, non completamente sviluppate. Per questo motivo, una stadiazione clinica non deve essere effettuata prima degli 8-12 mesi di età.
Terapia beta bloccanti si puo’ valutare una valvuloplastica in casi molto selezionati
In questo caso la somministrazione di beta bloccanti non ha impedito il decesso che e’ avvenuto tre mesi dopo la diagnosi. (pazienti con questi gradienti muoiono entro l’anno di vita).






