I DIV rappresentano una anomalia cardiaca congenita, la cui incidenza si stima nei cani intorno al 5-6% (molto piu’ comune nei bambini in medicina umana),mentre nei gatti prevale il DIA ,particolare predisposizione, viene segnalata nel Buldog Inglese e Francese ,Pastore Terdesco Pastore Maremmano e Shih Tzu.
In base alla localizzazione coinvolge la porzione membranosa (sotto la cuspide aortica non coronarica) muscolare o sottoarteriosa.
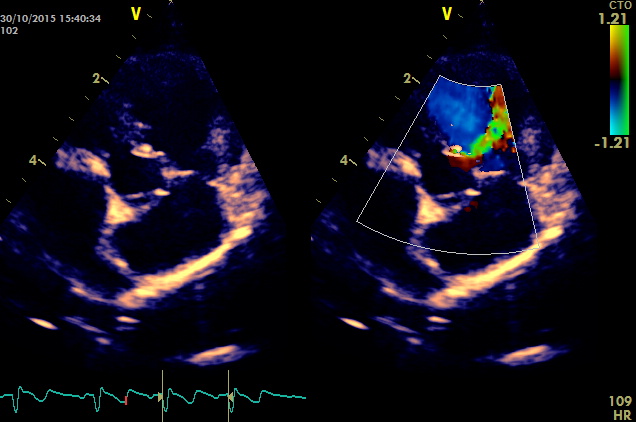
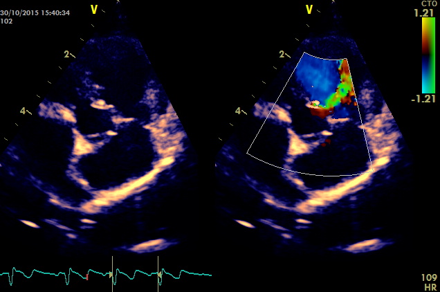
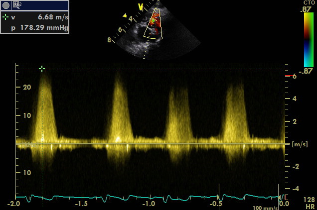
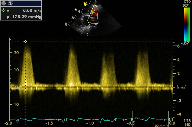
Questo e’ un caso classico che coinvolge la porzione perimembranosa ,la gravita’ del difetto e’ ovviamente proporzionale alla sua ampiezza ,in questo caso il difetto non supera i due millimetri i gradienti tra ventricolo sx e destro sono stimati dal doppler nella norma ,emodinamicamente non dovrebbe comportare lo sviluppo di sovraccarichi significativi del cuore sx . Diversamente i difetti piu’ ampi generano inevitabilmente overcirculation (per lo shunt sx destro emodidamicamente significativo) e sviluppo di scompenso cardiaco sx ,in alcuni casi oltre i due anni l’arteriopatia progressiva generata dall’overcirculation puo’ innalzare la pressione in polmonare e invertire lo shunt.
La diagnosi e’ stata eseguita solo a tre mesi ,la letteratura riporta rari casi di chiusura spontanea il soggetto ( buldog francese femmina di tre mesi) viene regolarmente monitorizzato.
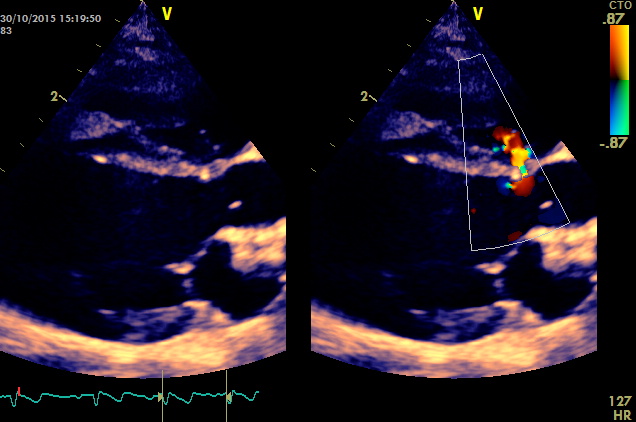
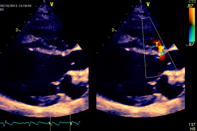
gradiente transventricolare di 178 mmHg questo e’ un pattern restrittivo compatibile con basse pressioni nel cuore di destra da considerare un bene per il soggetto ,gradienti minori indicano innalzamento delle pressioni nel ventricolo destro .
nessuna evidenza di ingrandimento ventricolare
Difetti piccoli vengono rispettati, quelli medi e ampi devono essere corretti chirurgicamente (tecniche mini-invasive percutanee : coil ,amplatzer,dispositivo Rashkin)




