

Il seguente caso clinico aiuta a capire le notevoli difficolta’ che si possono avere nell’interpretazione della diagnostica per immagini e nel dare il giusto contributo in termini di strategie diagnostiche e terapeutiche ai nostri pazienti ,non ultimo deve essere considerato il fattore economico e il rapporto tra le informazioni di cui abbiamo necessariamente bisogno e quelle superflue e del tutto inutili ai fini decisionali ma sempre molto costose nella nostra medicina privata .
Di fronte ad una lesione focale epatica significativa (dimensioni ,localizzazzione,aspetto,esperienza dell’operatore ) in un paziente che sta bene asintomatico cosa bisogna fare ?
Questo paziente ha fatto tutto le conclusioni le possiamo condividere
Segnalamento : meticcio taglia media femmina PU PD rialzo transaminasi,positivo allo screening dell’ipercorticosurrenalismo (senza alterazioni delle surrenali)
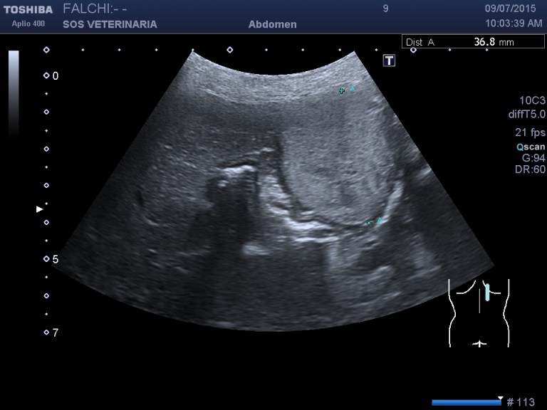
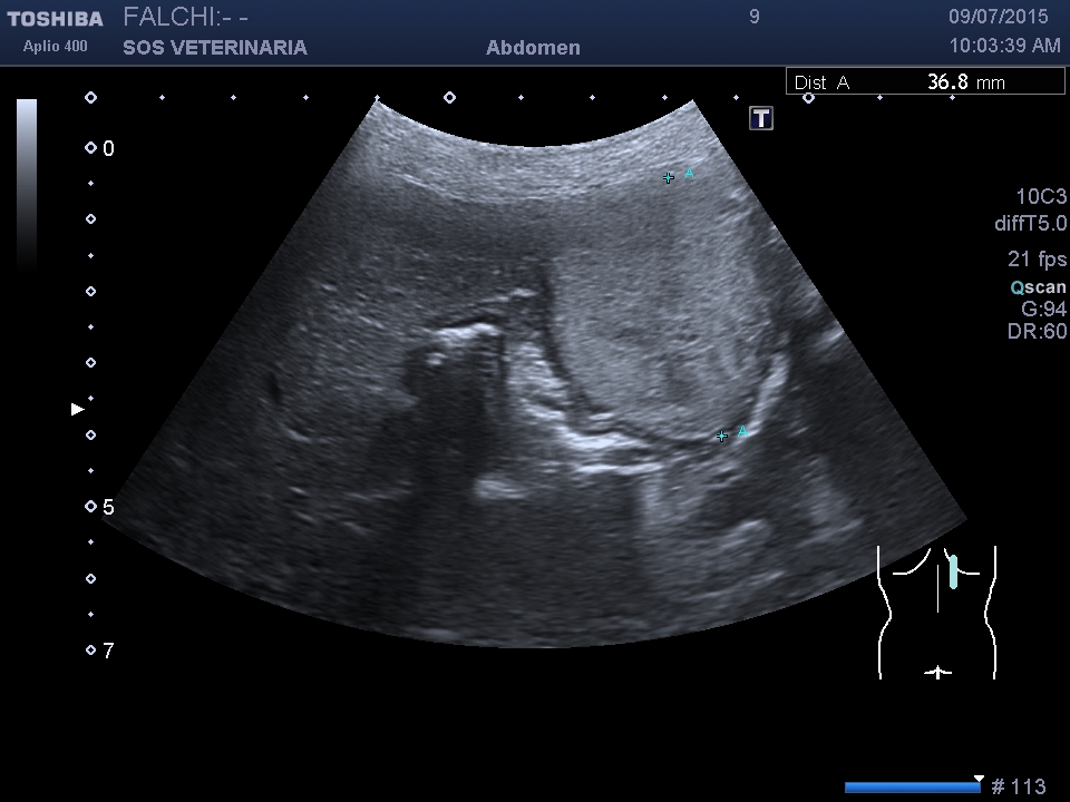
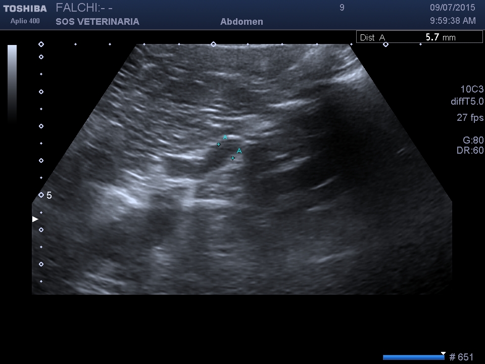
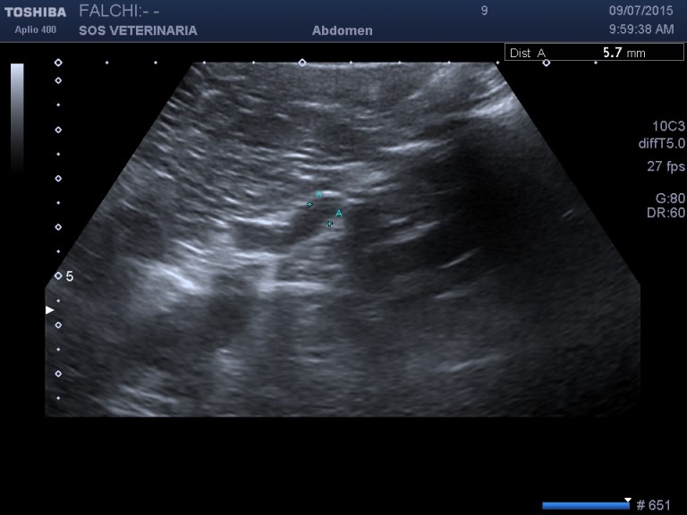
primo esame ecografico .volume surrenalico nei limiti,morfologia surrenalica rispettata , ,lesione focale epatica compatta omogenea nei settori di sx altre piu’ piccole lesioni focali meno demarcate e definite sempre nei settori di sx
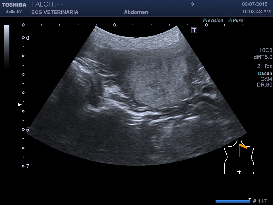
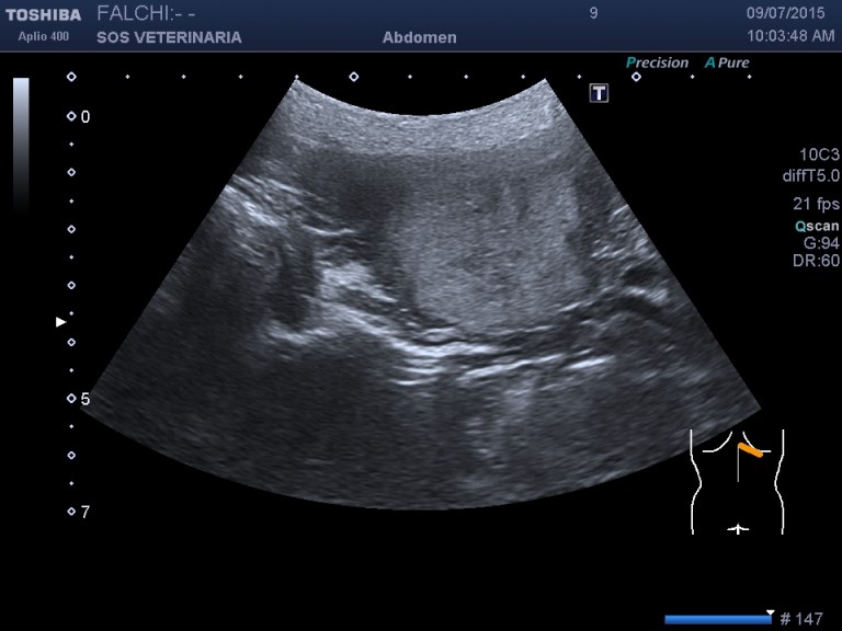
ecografia di secondo livello con CEUS
fase arteriosa isoenanchement
fase portale e tardiva ipoenachemente
eseguita citologia epatica le cellule epatiche non evidenziano malignita’ suggestiva di adenoma /epatoma
primo contraddittorio la ceus denuncia un circolo portale disorganizzato quindi una lesione significativa, maligna in prima ipotesi, era giusto fare un semplice agoaspirato? non era meglio fare una biopsia? rimanderei le conclusioni a dopo
controllo dopo 4 mesi
la lesione e’ cresciuta, il cane sotto somministrazione di vetoryl e’ migliorato nei sintomi dell’ipercorticosurrenalismo ,bene sul piano generale viene visto solo per un controllo
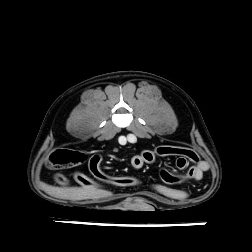
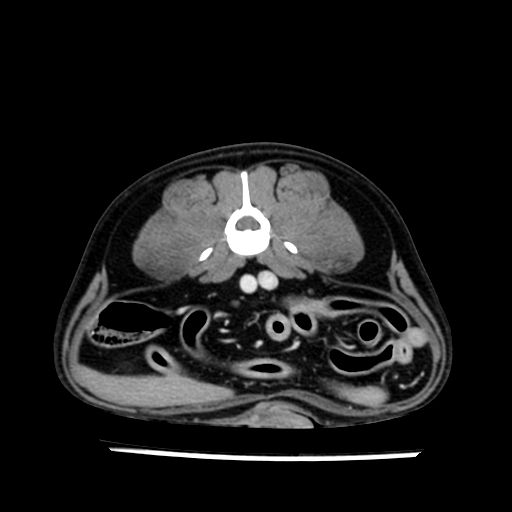
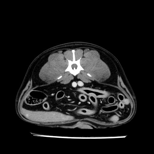
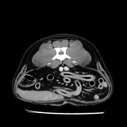
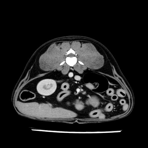
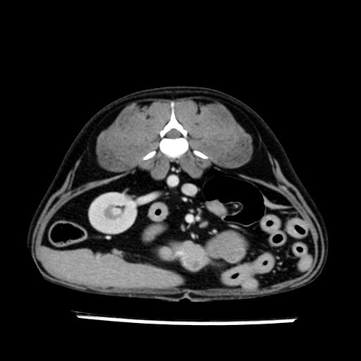
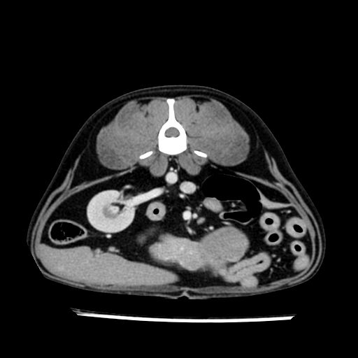
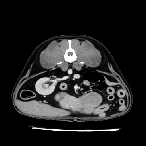
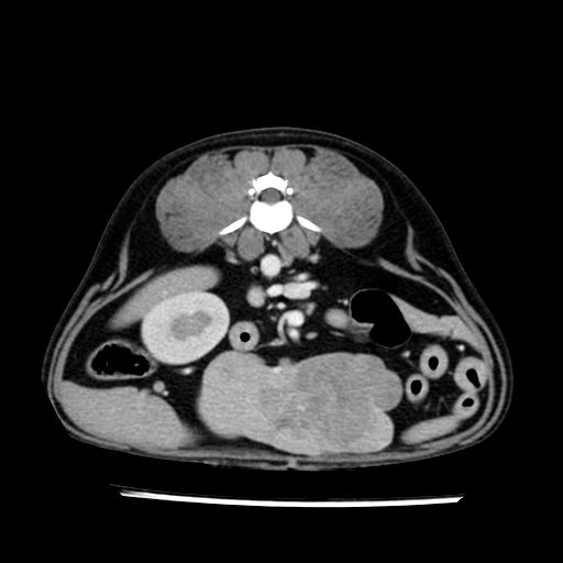
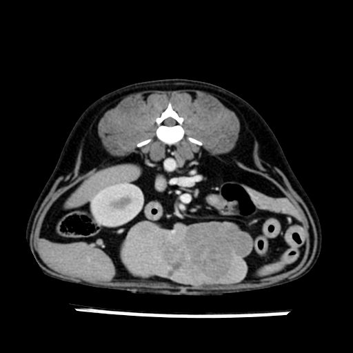
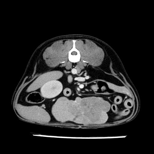
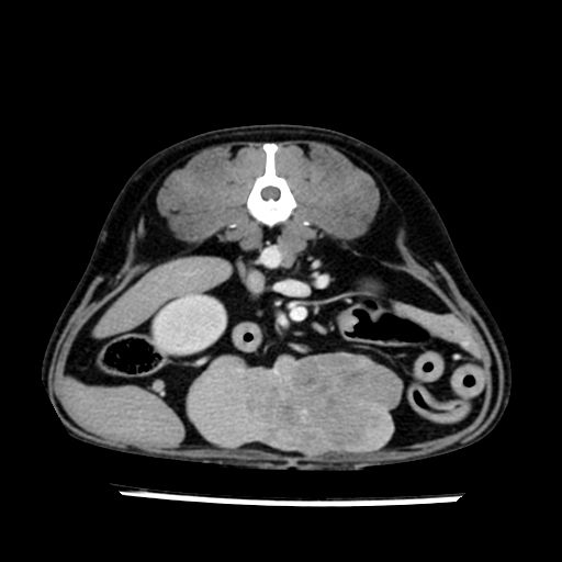
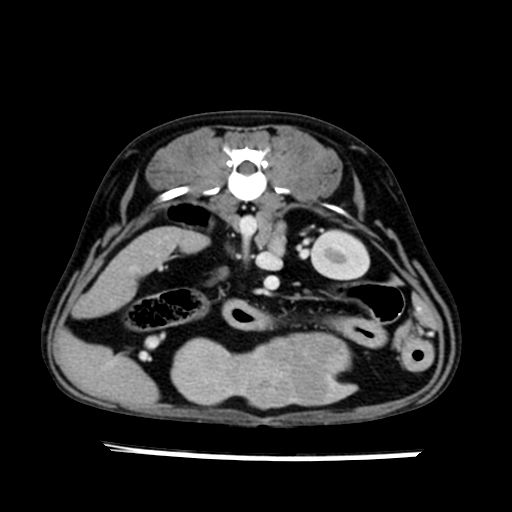
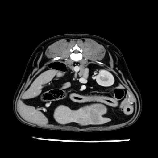
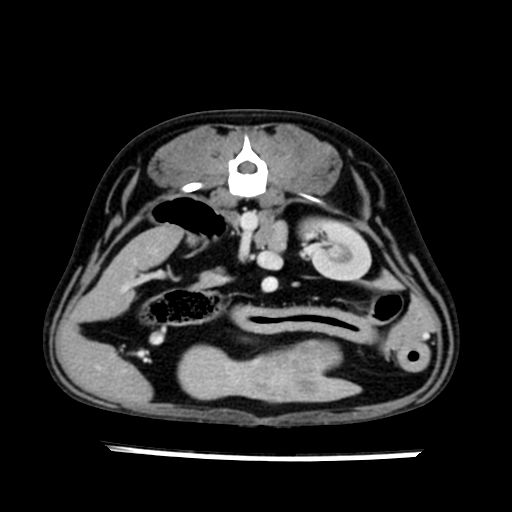
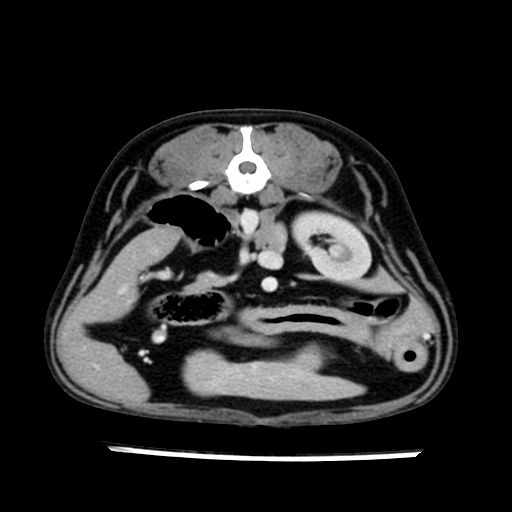
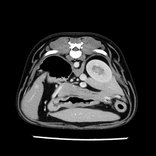
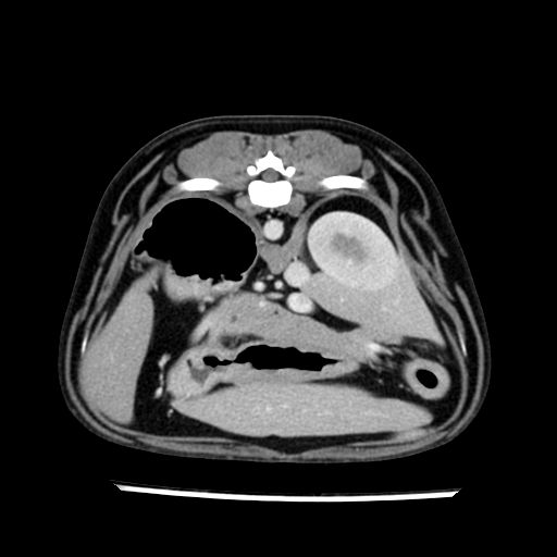
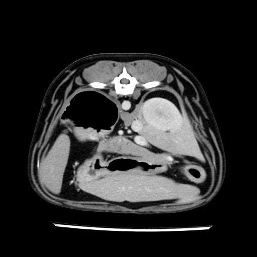
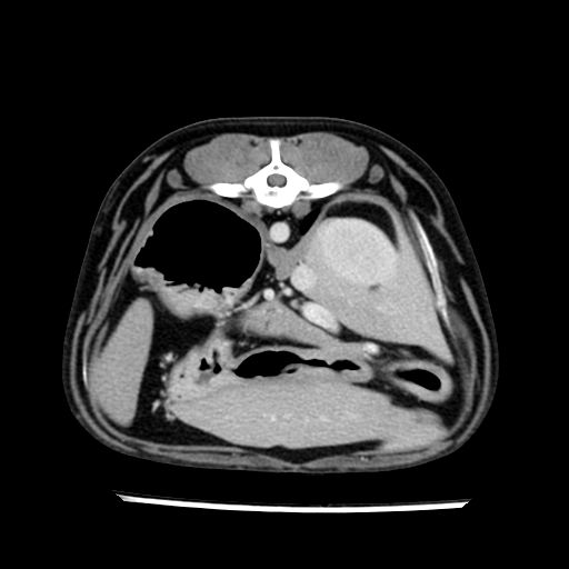
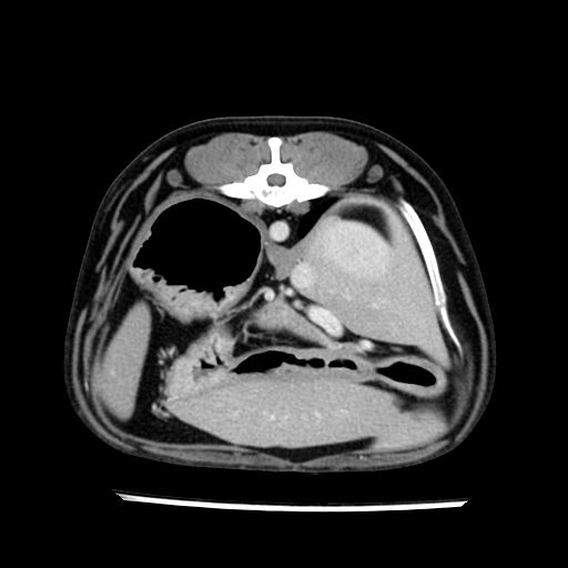
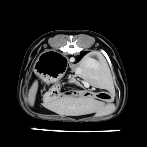
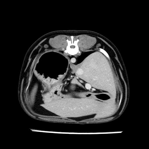
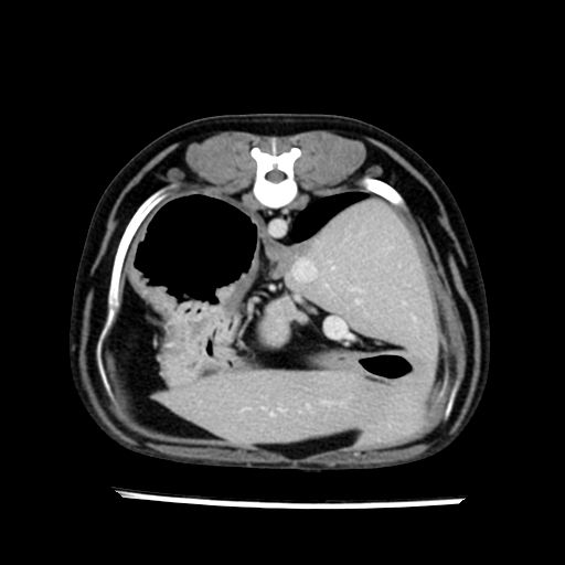
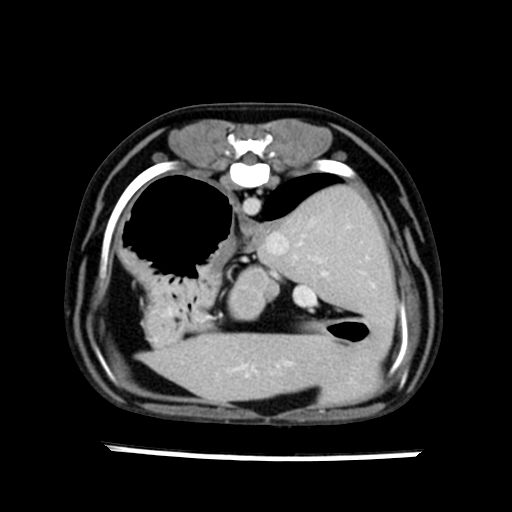
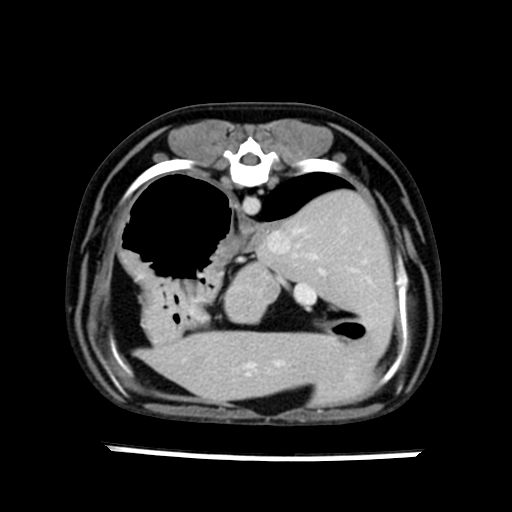
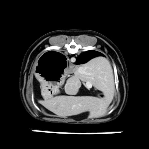
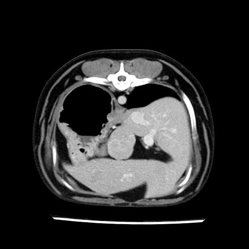
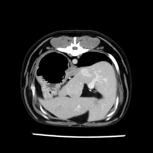
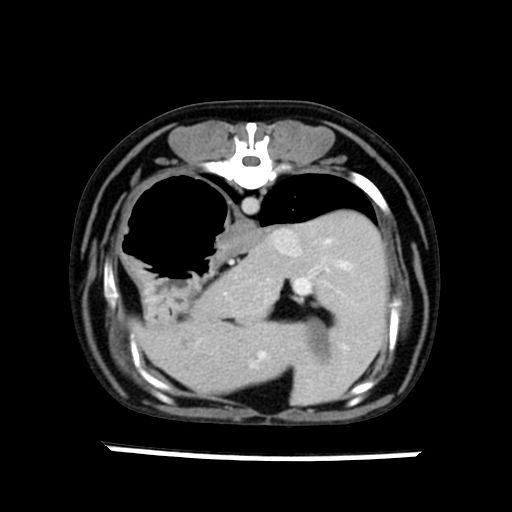
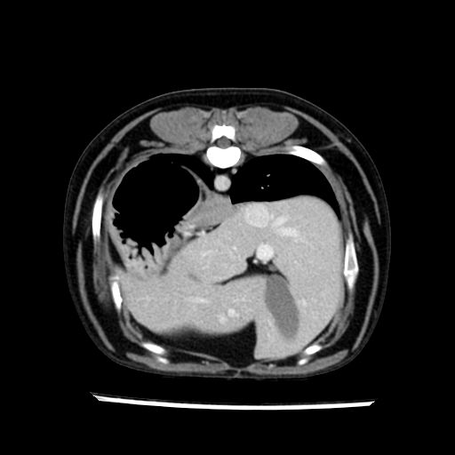
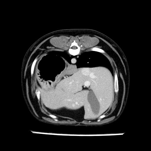
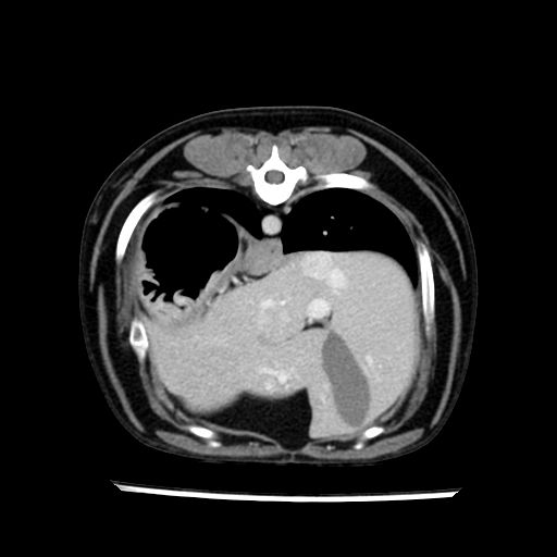
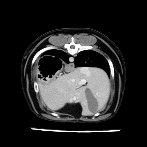
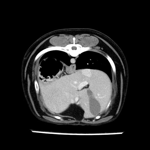
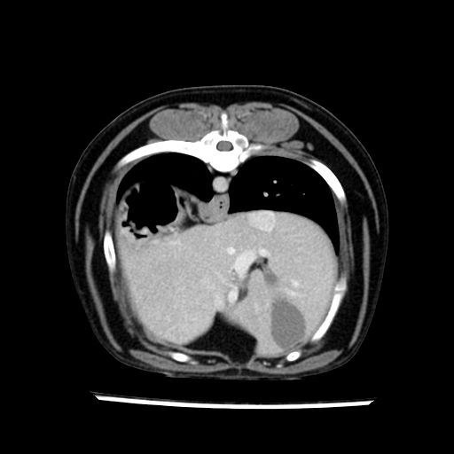
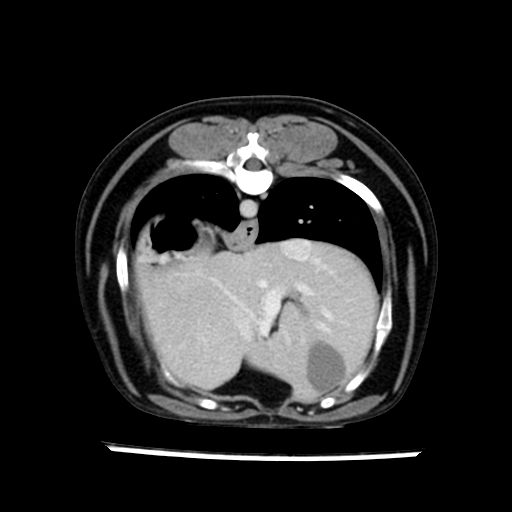
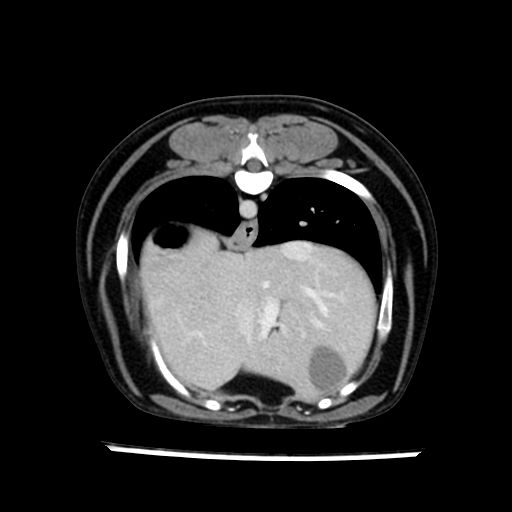
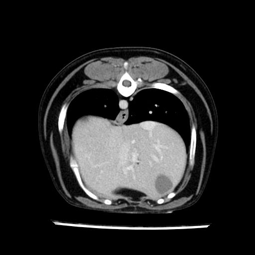
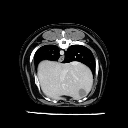
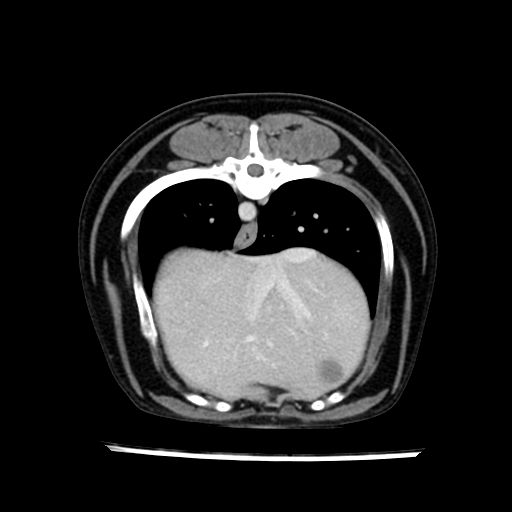
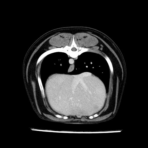
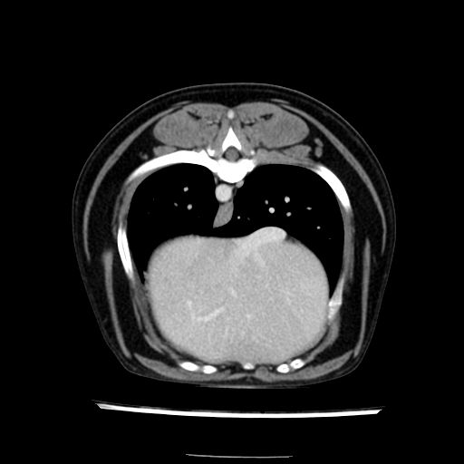
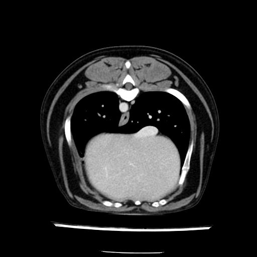
prescritto esame TAC
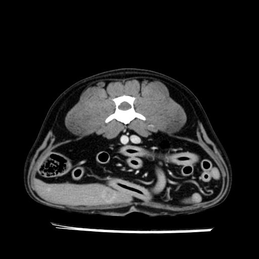
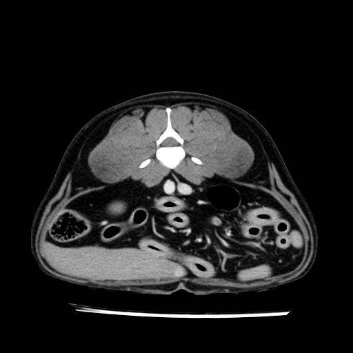
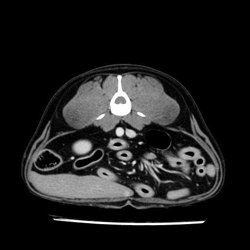
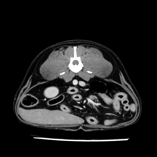
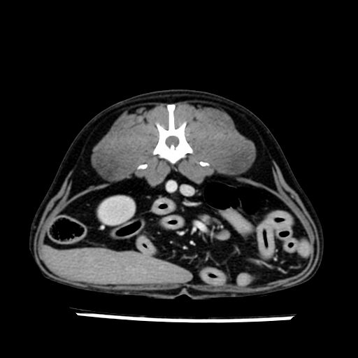
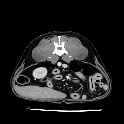
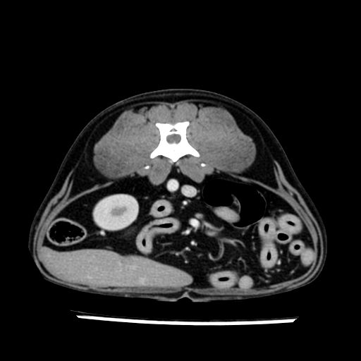
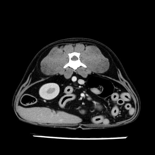
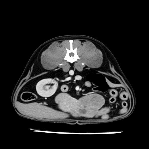
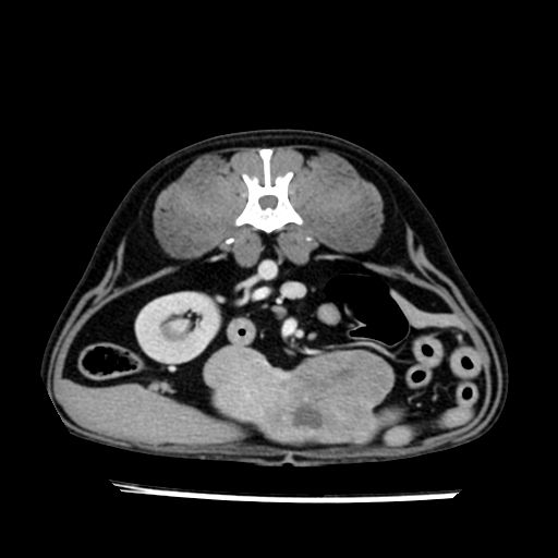
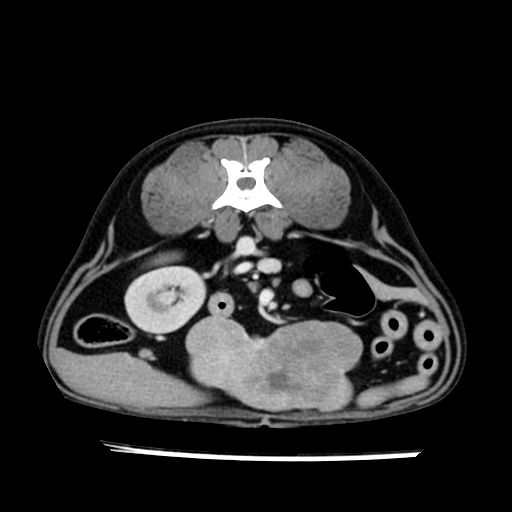
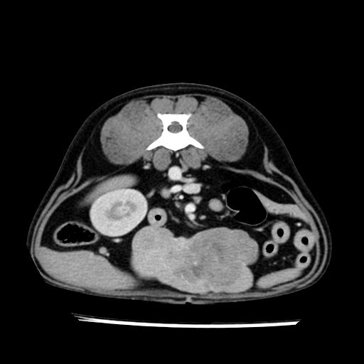
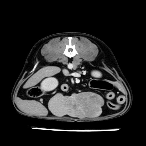
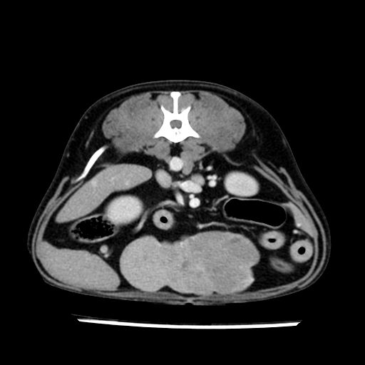
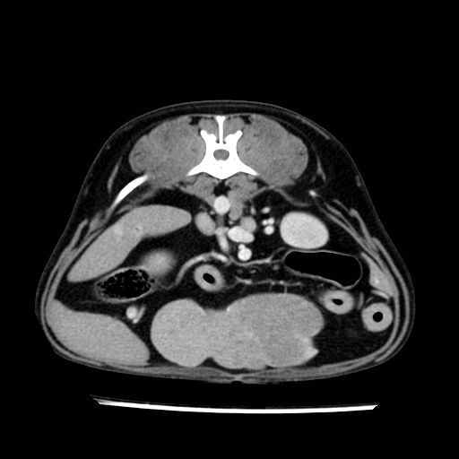
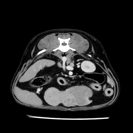
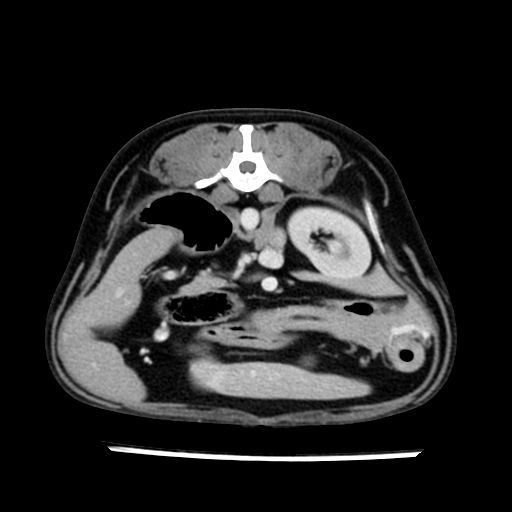
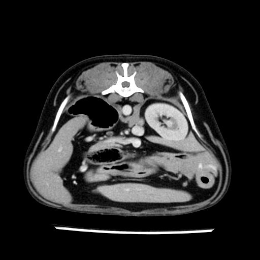
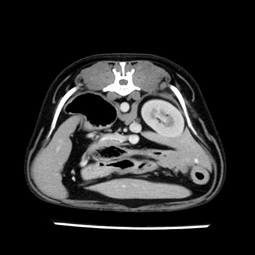
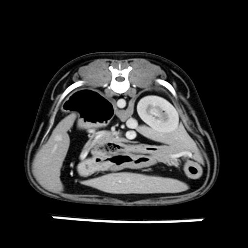
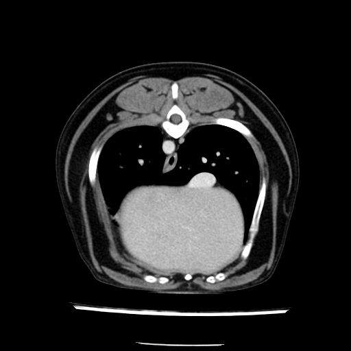
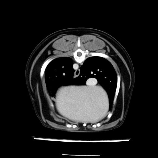
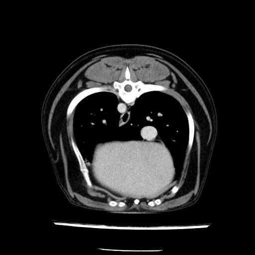
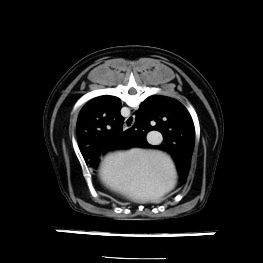
sequenza immagini limitata al fegato reni e surreni
le immagini ecografiche rispetto alla tac datano circa 7 mesi prima ,le surrenali sono normali nonostante il test acth sia risultato positivo .all’esame TAC dopo diversi mesi risultano aumentate armonicamente nel volume e si individua un forte sospetto di adenoma ipofisario .
sospetto adenoma ipofisario vs. meno probabilmente meningioma della base; intertiziopatia polmonare; lesione espansiva epatica, verosimilmente del lobo laterale sinistro, di sospetta natura neoplastica; lesioni spleniche di natura da definire; iperplasia/ipertrofia delle ghiandole surrenali, bilateralmente; vertebra di transizione del rachide toracico; tenosinovite cronica del muscolo bicipite brachiale di destra.
alcune considerazioni
- l’esame tac e’ stato eseguito circa quattro mesi dopo la prima ecografia che non aveva messo in evidenza aumento del volume surrenalico (vedi immagini) ma solo la lesione epatica, la presenza di PU PD aveva portato ad un controllo per l’ ipercorticosurrenalismo confermato dal test act , in questo caso, si deduce che i sintomi di ipercorticosurrenalismo legati all’adenoma sono comparsi prima delle modificazioni surrenaliche, quindi in caso di sospetto ,a mio avviso e’ buona norma eseguire prima il test di stimolazione e dopo L’ECOGRAFIA per tentare una classificazione eziopatogenetica . La Tac si e’ quindi dimostrata molto valida in sensibilita’ e specificita’ riguardo la patologia surrenalica in quanto in grado di vedere o fortemente sospettare (ovviamente meno sensibile della RM) un piccolo adenoma ipofisario e le alterazioni morfovolumetriche della surrenale.
- Nessuna informazione diversa per quello che riguarda l’esame ecografico del fegato e la presa del contrasto si confermano le lesioni individuate e l’ipoenanchement in fase portale.
- la total body permette di escludere metastasi e di avvicinarsi all’interventistica
- eseguiti campionamenti istopatologici della lesione epatica TAC guidati
considerazioni
sebbene l’esame sia suggestivo di carcinoma epatocellulare tuttavia non si ha la certezza e rimane in diagnosi differenziale l’adenoma dal carcinoma ben differenziato (le cellule sono simili a quelle normali cambia solo la disorganizzazzione degli spazi portali )
la biopsia in misura senz’altro minore della citologia non ha potuto dare certezze assolute e rimane ancora il dubbio sulla malignita’ dettaglio fondamentale ai fini prognostici
INTERVENTO
lobectomia epatica lobo sx
la lesione come si puo’ vedere dalle foto e’ molto deformante il profilo dell’organo e francamente suggestiva di malignita’ l’esame ecografico e la stessa Tac non davano questa impressione probabilmente la sovrapposizione dei lobi epatici impedisce sia l’esatta localizzazione che la definizione dei profili lobari importanti a mio avviso nella significativita’ di alcune lesioni.
Evidenti focolai necrotici emorragici interni alla lesione che giustificano l’importanza di eseguire piu’ campionamenti per il rischio di campionare tessuto non diagnostico . La ceus eseguita e’ antecedente di circa 7 mesi la lesione asportata ,l’indice mitotico dell’esame istopatologico e’ molto basso la lesione il processo ha avuto una evoluzione molto lenta.
la prima ecografia asse maggiore 3,5 cm
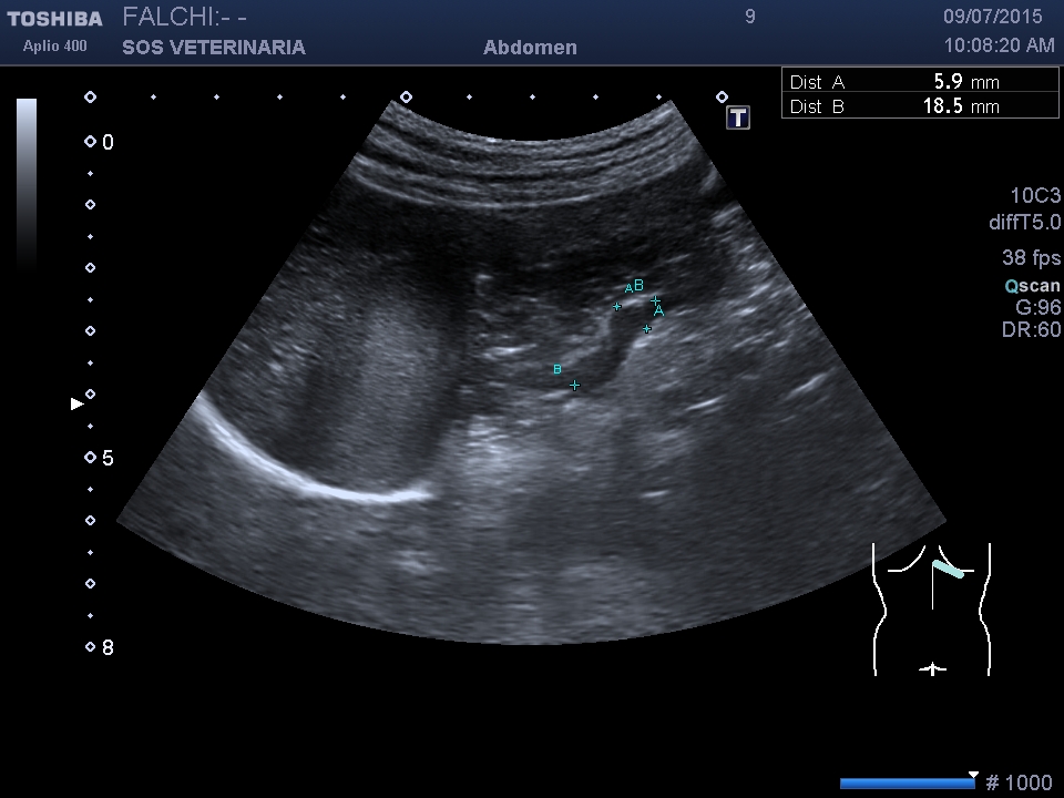
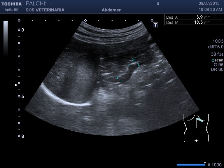
la seconda dopo 2 mesi asse maggiore 4,2 cm
la tac dopo 7 mesi permette misure tridimensionali 5,2 x 9,2 x 4,5 cm (forma piu’ allungata )
Il soggetto non ha avuto alcuna complicanza ed e’ stato tenuto in osservazione la notte solo per prudenza ,la mattina successiva dimesso.
Il giorno dell’intervento non e’ stato somministrato il vetoryl che ha ripreso regolarmente dopo due giorni .
referto istopatologico
conclusioni
le informazioni della ceus in questo percorso diagnostico sono state molto utili ,semsibili e specifiche nel definire la lesione significativa e fortemente suggestiva di malignita’.
non consiglio dopo un esame ceus fortemente suggestivo di malignita’ l’ago aspirato meglio eseguire biopsia e tac insieme con una unica anestesia in questo modo avremo le informazioni piu’ importanti la caratterizzazione della lesione e l’operabilita’ della stessa
la tac non apporta sulle lesioni epatiche altre informazioni semmai le conferma ma ci permette di escludere ovviamente metastasi
anche in corso di un significativo ipoenhanchemente di una lesione focale epatica la biopsia incisionale con tru cut puo’ non essere in grado di distinguere tra epatocarcinoma ben differenziato ed adenoma (,le cellule sono molto simili cambia la disorganizzazione dello spazio portale ) anche se ,ragionevolmente, si presenta l’adenoma fortemente improbabile.











































































