Vai al contenuto
ecovetsos
ecografia veterinaria
Toggle Sidebar
12 aprile 2016
00134
Lascia un commento
Cancella risposta
Δ
Navigazione articolo
←
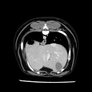
La lesione focale epatica , la ceus,la Tac e il chirurgo .
Menu
ecografia addominale
gastro-intestinale
fegato
milza
reni
linfonodi addominali
surreni
vescica
ecocardiografia
small parts
Ceus
home
Senza categoria
vascolare
Commenta
Abbonati
Abbonato
ecovetsos
Registrami
Hai già un account WordPress.com?
Accedi ora.
ecovetsos
Abbonati
Abbonato
Registrati
Accedi
Copia shortlink
Segnala questo contenuto
Visualizza articolo nel Reader
Gestisci gli abbonamenti
Riduci la barra