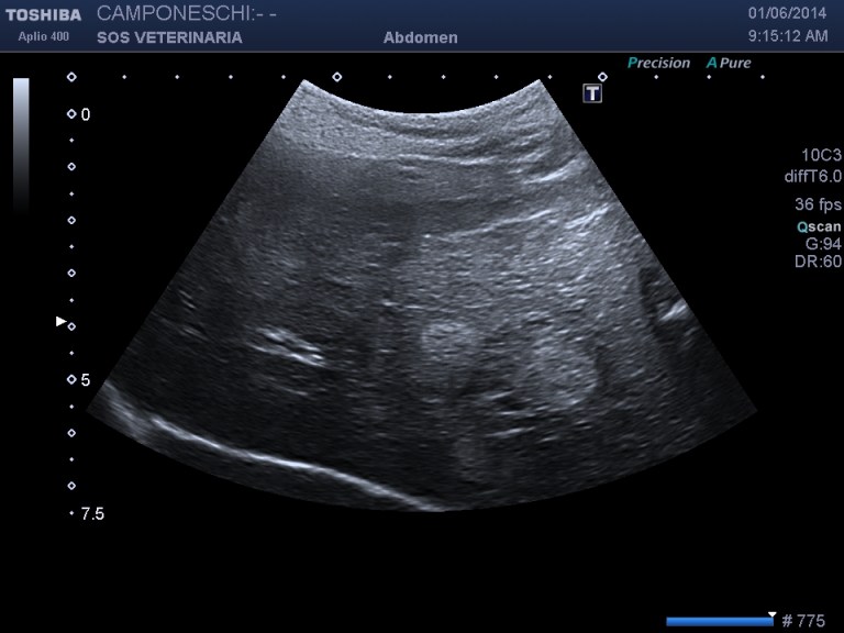
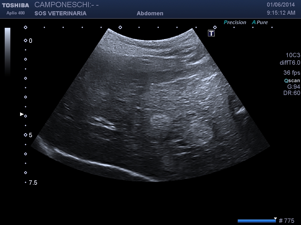
Beagle maschio 13 aa di nome Teo ,insorgenza iperacuta dopo trauma di lieve entita’ (caduta da un muretto alto meno di 1 metro) di sindrome algica addominale acuta ,l’esame ecografico mostra massa irregolare , disomogenea perirenale sx profilo d’organo irregolare e alterato con severa perdita di tessuto corticale ,quadro compatibile con grave infarcimento necrotico- emorragico , eseguito esame ceus ,ha confermato l’avascolarita’ della lesione ,in diagnosi differenziale e’ stato considerato emangiosarcoma renale con rottura secondaria al trauma .
analisi del sangue:
20140531_SOS_camponeschi_Bio_14E4497 20140531_SOS_camponeschi_Emo_14E4497 20140606_SOS_camponeschi_Coag_14F626
milza lesione focale eterogenea
La minima entita’ del trauma ci ha fatto sospettare un emangiosarcoma allo stesso modo di quello splenico in pronto soccorso molto comune alla presentazione . dopo stabilizzazzione di 48 ore e’ stata eseguita nefrectomia .L’esame istopatologico ha escluso un emangiosarcoma e diagnosticato un grave e severo infarcimento necrotico-emorragico con distruzione del 30 % della massa renale ,si ipotizza la rottura di una anomalia presistente forse vascolare per la minima entita’ del trauma che non spiegherebbe se non come eccezione la gravita’ del quadro ..
Eseguita una ceus epatica prima dell’intervento ha messo in evidenza una area ipoenachment in tutte le fasi che ha fatto sospettare lesioni metastatiche ,non confermate dalla citologia eseguita (aree rigenerative e degenerative)
Purtroppo il paziente nonostante avesse valori renali nella norma ha sviluppato gravi complicanze post-intervento tromboemboliche, con insorgenza di insufficienza renale oligurica , tromboflebite necrotizzante arto anteriore e sindrome infiammatoria sistemica .
Il decesso e’ avvenuto per eutanasia dopo alcune settimane.
Il caso clinico mi ha colpito molto, in un primo tempo l’intervento era stato escluso per il rapporto rischio-benefico non sempre favorevole nei soggetti anziani ma la persistenza di uno stato di algia , la distruzione massiva della corteccia renale,lo stato clinico sebbene migliorato con evidenti segni di sofferenza da parte di Teo , ci hanno convinti ad intervenire supportati dalle ottime analisi del paziente
A posteriori una conferma della difficile valutazione rischio-benefici di un intervento chirurgico nel paziente geriatrico ,in questo caso la nefrectomia ha trovato un rene controlaterale incapace a supportare la compensazione funzionale ed emodinamica improvvisa,i valori di funzionalita’ renale purtroppo non servono a molto se negativi sono troppo tardivi ,uniche tecniche valide sono quelle dinamiche come la :
scintigrafia renale dinamica , al momento pura utopia per la maggior parte delle strutture veterinarie disseminare nel mondo e non solo in italia
in umana sono in grado di fornire i seguenti dati:
Calcolo della funzionalità renale relativa • Calcolo della VFG o FPRE separate • Follow up in terapie nefrotossiche • Diagnosi differenziale dell’ipertensione nefrovascolare • Follow up post-rivascolarizzazione renale • Valutazione dell’uropatia ostruttiva – Dilatazione/Ostruzione delle vie escretrici – Follow-up (in conservativa o post-intervento) • Studio morfo-funzionale delle malformazioni • Valutazione di possibile infarto renale • Valutazione di pazienti con trauma renale • Trapianto renale – Studio funzionale e follow up del trapianto – Studio funzionale bilaterale del donatore vivente.
Questo limite nella valutazione della funzionalita’ renale in pazienti anziani che devono essere sottoposti a nefrectomia deve essere attentamente sottolineato e valutato nell’ambito di una serena valutazione rischio -beneficio.
Un’altra considerazione riguarda la Ceus che in questo caso non ha fornito altre indicazioni se non la conferma di una vasta lesione infartuale emorragica, forse in caso di emangiosarcoma, la presa del contrasto nella corteccia confinante sarebbe stata disomogenea e non netta la demarcazione tra tessuto sano e patologico ,le lesioni epatiche sono state prima dell’intervento campionate in citologia e nonostante fossero ipoenanchment in tutte le fasi sono risultate benigne di natura rigenerativa .
Teo era un bellissimo beagle con un carattere eccezionale legato alla proprietaria da un rapporto profondo ,indissolubile non li dimenticheremo…


