caso di cardiomiopatia ipertrofica del Maine Coone ,presentazione al pronto soccorso tipica con edema polmonare e tromboembolismo aortico completo bilaterale ,per la mia esperienza,nessun trattamento risulta essere efficace per questi soggetti, il decesso avviene nel 90%-95% dei casi e quelli che sopravvivono muoiono nelle settimane successive per le severe complicanze provocate dall’ipoperfusione ,i trattamenti trombolitici non risultano praticabili per diverse ragioni, non ultima quella economica, l’evento drammatico non e’ lo scompenso cardiaco diastolico (sul piano farmacologico gestibile) ma la trombosi aortica spesso anche polmonare .


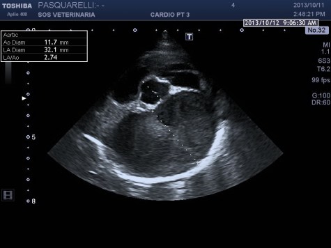
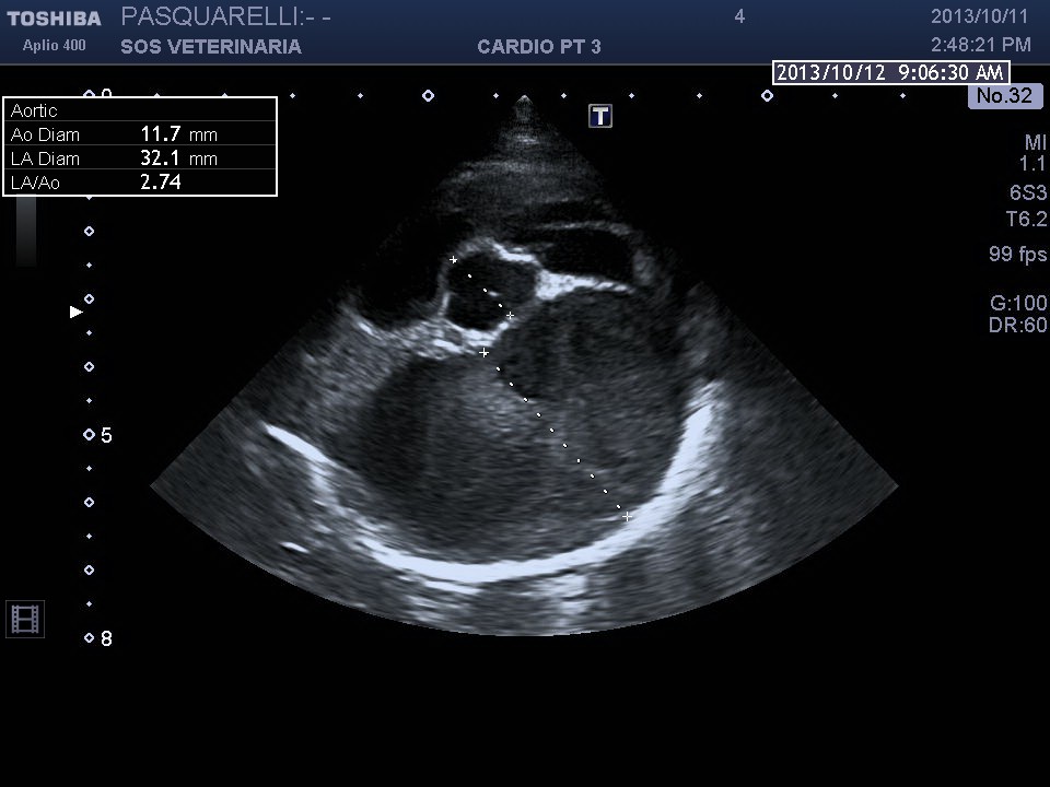
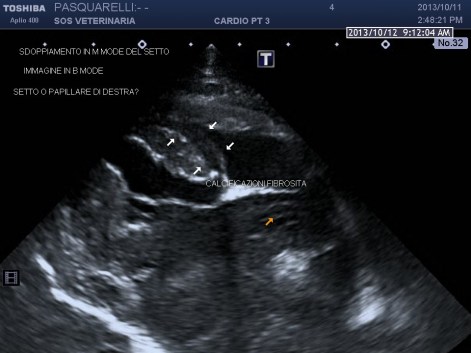
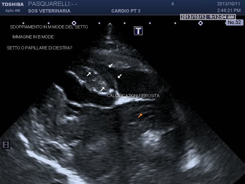
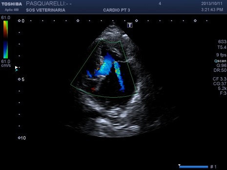
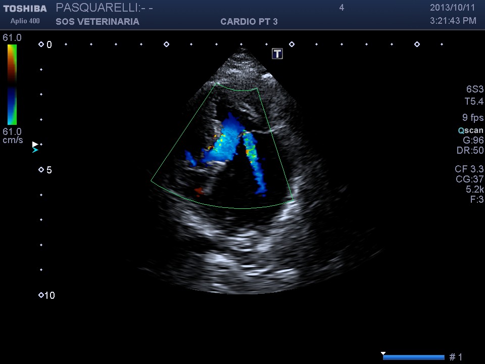
Per avere una idea del grado di pericolosita’ della malattia basta visionare lo smoke (effetto fumo) nell’atrio sx del soggetto e il voluminoso trombo fluttuante e martellante i lembi valvolari .

Una diagnosi precoce e una corretta terapia antiaggregante avrebbe consentito a questo soggetto di vivere tranquillamente fino allo scompenso congestizio diastolico inevitabile con l’aumentare del grado di ipertrofia.




Il soggetto aveva solo due anni di eta’ e aveva eseguito il test genico risultato negativo , da qui l’importanza, per una corretta analisi cardiologica ,dell’ecocardiogramma ,mai eseguito in questo caso .
E’ stato analizzato il fratello della stessa eta’ che e’ risultato normale.
La cardiomiopatia ipertrofica (CMI o HCM) è una malattia cardiaca primitiva trasmessa geneticamente con modalità autosomica dominante ad alto grado di penetranza in rapporto con l’età.
Sia nei felini che nell’uomo l’ HCM ha espressività variabile, con comparsa delle caratteristiche cliniche ed ecocardiografiche tipiche più frequentemente dopo la completa maturità sessuale.
Per queste sue caratteristiche, nonostante i miglioramenti e gli sforzi diagnostici, esistono ancora oggi importanti controversie riguardanti la sua diagnosi precoce, l’ eziologia, la storia naturale ed il trattamento.