
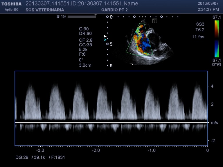
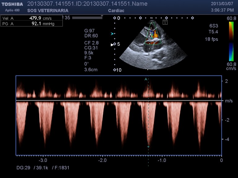
Il dotto arterioso pervio ,insieme alla stenosi aortica e polmonare e’ uno dei difetti congeniti piu’ comune ,di facile diagnosi sia clinica che ecografica nella comune presentazione di shunt sx -dx con sovraccarico volumetrico atrioventricolare sx da overload puo’ essere difficile riconoscerlo nei casi di inversione dello shunt che avviene per l’istaurarsi di uno stato di ipertensione polmonare .





Questo caso visto in pronto soccorso per l’insorgenza di improvviso malore e dispnea coinvolge un jack russel di circa 6 aa ,la proprietaria e il medico curante non erano a conoscenza della condizione , il PDA e’ passato per lunghi 6 anni inascoltato …
Non conosciamo le ragioni per cui in alcuni casi soggetti poratatori di PDA riescano a superare il sovraccarico volumetrico sx e invertano lo shunt , sappiamo che molti non operati muoiono per insufficienza cardiaca sx e il grave sviluppo di edema polmonare.
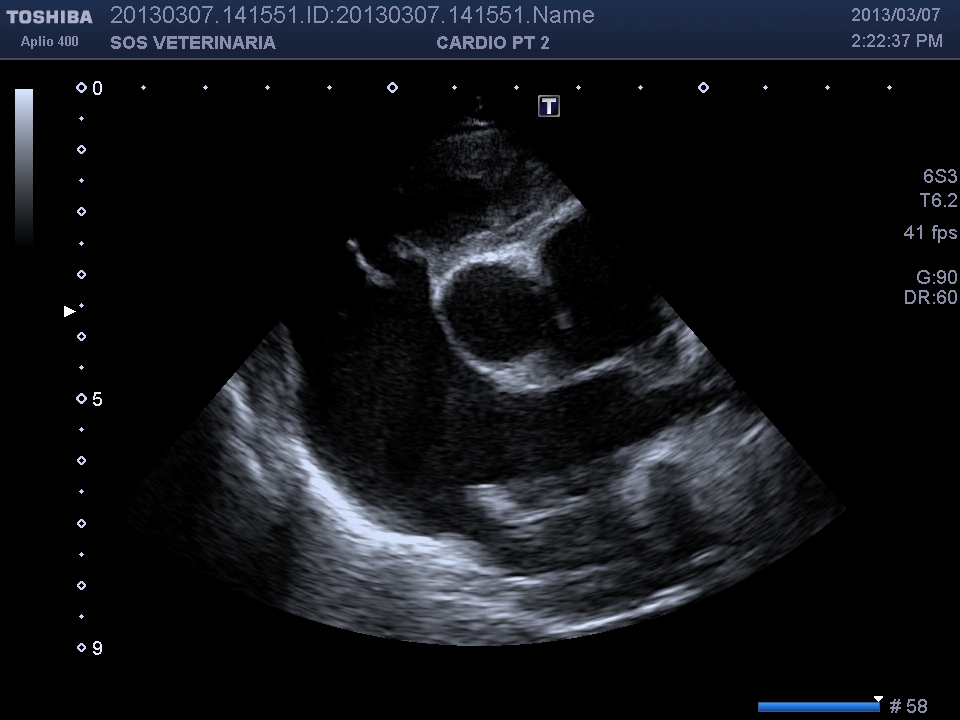
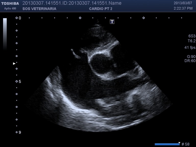
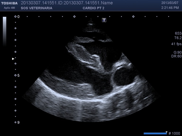
Ecco i filmati piu’ significativi osservare il flusso laminare che scorre parallelo alla parete laterale dell’arteria polmonare non piu’ continuo ma annullato in sistole dalla gittata in polmonare ,nel terzo filmato si vede l’ampolla del dotto
Quando si diagnostica un PDA il miglior momento di corregerlo chirurgicamente o con amplatzer e’ SUBITO. ovviamente dopo stabilizzazzione con diuretici se presenti sintomi . Aspettare porta il miocardio al rischio di sviluppare una insufficienza irreversibile,una volta invertito lo shunt ovviamente l’intervento e’ inutile rimane terapia medica per il controllo dell’ipertensione .(Sildefanil)