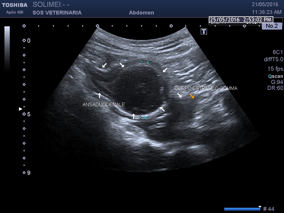
Buldog maschio di 8 anni portato alla visita per emesi incoercibile ,emogas analisi : alcalsosi ipocloremica compatibile con ostruzione alta intestinale ,l’esame ecografico ha permesso di individuare la causa una palla di gomma spugnosa di circa 4 cm la cui peculiarita’ e’ l’assenza totale di sbarramento per l’assorbimento dell’acqua che hanno reso la scansione molto simile ad un ansa intestinale in sezione trasversale .

