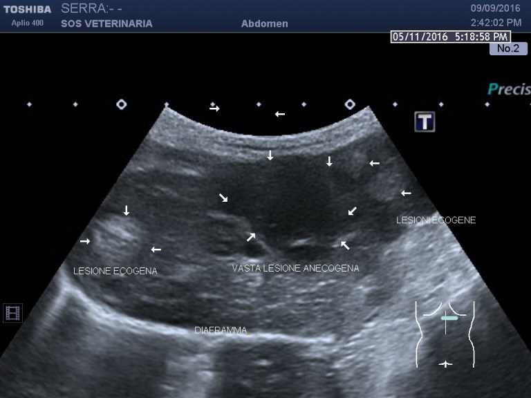
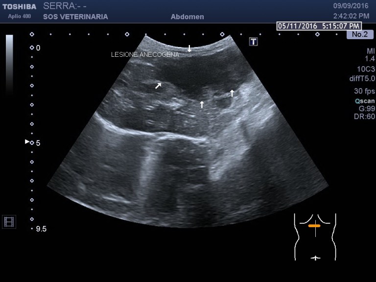
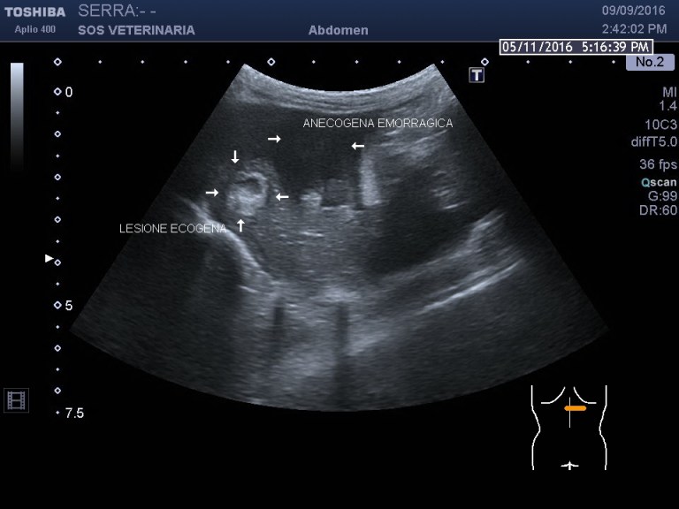
Gatta comune europea ,eta’ 5 anni ,improvvisa debolezza,vive in casa ,alla visita: mucose pallide,lieve distensione addome ,l’ecografia di base evidenzia emoperitoneo (versamento campionato) e due masse di alcuni centimetri ipoecogene peritoneali a profilo uniforme avascolari al color doppler , lesioni focali epatiche alcune molto demarcate ed ecogene altre consistenti in aree piu’ o meno demarcate con settori ane-ipoecogeni e settori ecogeni , demarcazione del profilo dei lobi nelle porzioni caudali meno definito.
Analisi di laboratorio indicano nella serie bianca una leucocitosi con spostamento a destra e una linfopenia ,la serie rossa indica anemia moderata con segni deboli o iniziali di rigenerazione , numerosi RBC nucleati ,linfopenia ,nel profilo biochimico il rimaneggiamento delle transaminasi epatiche e’ veramente minimo ,le proteine seriche sono nei limiti inferiori ,sono assenti marker infiammatori significativi.
Esame Ceus
sono evidenti lesioni focali avascolari (completa assenza di assunzione di contrasto) alcune non evidenziate all’esame B mode ,altre francamente ecogene in B mode ,lesioni dunque necrotiche demarcate purtroppo neoplastiche altamente suggestive di emangiosarcoma .
Si e’ optato per una laparotomia per la conferma diagnostica e per la scarsa sensibilita’ della citologia nei sarcomi .
Osservando il grado di compromissione epatica e le lesioni macroscopiche del soggetto colpisce come sempre per noi ecografisti la discrepanza tra imaging e realta’ ,la deformazione del profilo lobare e le lesioni nodulari esofitiche e disorganizzanti la superficie lobare dell’organo ,non erano poi cosi evidenti all’esame ultrasonografico
La massa compatta ipoecogena in addome era un coagulo di vecchia data trasformatosi in una massa fibrosa uniforme e liscia nella superficie esterna .
Comunemente l’emangiosarcoma felino colpisce il sottocute ,dove la chemio abbinata alla chirurgia puo’ dare risultati , anche una milza colpita da una forma basso indice mitotico merita il trattamento chirurgico e la chemio ,in questo caso , il problema era la non asportabilita’ delle lesioni ,l’indice mitotico basso puo’ spiegare l’evoluzione lenta e il ritrovamento di coaguli organizzati verosimilmente di vecchia data ,una chemio poteva quindi essere tentata (per il basso indice delle mitosi) ma il proprietario non ha acconsentito e cio’ e’ comprensibile.
La gattina purtroppo e’ deceduta dopo circa due mesi





