Due casi ,per altro in pochi mesi , di Ipocorticosurrenalismo con iperplasia delle surrenali , un Labrador maschio di circa 8 anni e una femmina di Corso di circa 2 anni ,entrambi con segni clinici vaghi dove dominava l’anoressia l’ emesi saltuaria e la depressione del sensorio , sul piano analitico le modificazioni elettrolitiche e tipiche della patologia sono presenti in misura diversa nei due casi ,ma cio’ che li accumuna e’ l iperplasia e la necrosi documentata con la CEUS .
Prima di imbattermi in questi due casi ,ho sempre pensato che un ingrandimento delle surrenali non indicasse , in assenza di segni clinici e di laboratorio ,una condizione di IPER corticosurrenalismo, ma di certo, non ero per nulla consapevole che si potesse arrivare ad un Addison .
Un breve cenno alla malattia :
Ipoadrenocorticismo primario (surreni non funzionanti):
- Atrofia bilaterale della corteccia su base autoimmune (analogie malattia dell’uomo) in analogia a quanto accade a:
tiroide, pancreas esocrino ed endocrino, paratiroidi
- Patologie Granulomatose ( Istoplasmosi, Blastomicosi)
- Infarcimento emorragico, amiloidosi, necrosi
- neoplasia metastatica (linfoma)
- cause iatrogene (trilastane, mitotane, megestrolo acetato nel gatto,)
- Altre cause poliendocrinopatieSindrome polighiandolare: su 187 cani con Addison, 28 avevano più endocrinopatie associate:ipotiroidismo (16)diabete mellito (14)ipoparatiroidsmo (3)azoospermia (2)
Ipoadrenocorticismo secondario (diminuita sintesi o mancata sintesi di ACTH):
- Iatrogeno (eccessiva e prolungata somministrazione di corticosteroidi che portano ad atrofia delle surreni e a soppressione dell asse ipotalamo ipofisario)
- neoplasia ipofisaria
- Trauma
- Infiammazione
Secrezione di aldosterone e sistema renina angiotensina di solito mantenuti
carenza essenzialmente di cortisolo
- prevalenza 0,06 – 0,28 %
- Gene autosomico recessivo
- Femmine due volte più colpite dei maschi (69 vs 31%)
- Femmine e maschi sterilizzati, 3 volte più esposti rispetto agli interi
-
- Animali giovani , media 4 anni
(76% più giovani di 7 anni)
Grado di distruzione della ghiandola e comparsa dei segni clinici
Necessaria distruzione di più del 85% della ghiandola
Tre zone distrutte di solito nello stesso momento (la carenza di glicocorticoidi e di aldosterone è pressochè contemporanea e rapida )
Processo di distruzione graduale: insorge una sindrome atipica, con la sola distruzione delle zone fascicolata e reticolare si avra’ carenza di glucocorticoidi ,viene mantenuta la secrezione di aldosterone dalla zona piu’ esterna Zona glomerulosa
( zona poco definita, cellule sparse al di sotto della capsula)
Zona sprovvista dell’enzima 17 alfa idrossilasi: NO sintesi cortisolo e androgeni
L’Insufficienza surrenalica atipica o
da carenza di soli glucocorticoidi,risulta
probabilmente sottostimata (circa 24%)
presenza dei soli segni clinici da carenza di glucocorticoidi
mancano i segni clinici da carenza di mineralcorticoidi
Può evolvere dopo mesi nella forma “classica
Non escludere mai la diagnosi di malattia di Addison in presenza di concentrazioni elettrolitiche normali.
Tralasciare l’ipoadrenocorticismo come diagnosi differenziale nei pazienti con vaghi segni sistemici di malattia, si traduce in una diagnosi mancata o non corretta, con conseguente frustrazione del proprietario o persino la morte del paziente.
Caso 1
Corso femmina , inappetenza emesi saltuaria da piu’ di una settimana, dimagramento progressivo ,sterilizzata ottime condizioni prima dell insorgenza dei sintomi
nulla di evidente all emocromo e al biochimico generale eseguiti presso altro studio circa una settimana prima dalla presentazione in Pronto Soccorso.
emogas indicava moderato squilibrio sodio potassio
analisi elettroliti dopo fluidi endovena per correzione dello shock
20160817_sos_spa_bio_16h1622-1
l alterazione elettrolitica e’ veramente minima a dispetto dei sintomi (anoressia da 7 gg) importanti .
test acth
20160913_sos_spa_ormonali_16i1522
conferma la presenza di Addison
esame ecografico
evidente iperplasia della surrene sx le surrenali delle razze giganti sono molto piu’ difficili da visualizzare (sonda utilizzata da 6,5 mHz) e di dimensioni inferiori alle razze toy in proporzioni alla massa corporea,il limite di riferimento e’ impossibile stabilirlo per tutte le razze ci si affida al valore massimo di 7, 5 mm ai poli
nella destra asse lungo i valori superano di poco il riferimento
anche in asse corto si supera il valore di riferimento
filmato ecografia senza contrasto
filmato ecografia con contrasto
la registrazione per errore e’ partita dopo alcuni secondi e non si visualizza l arrivo del contrasto , la ghiandola e’ rimastapriva di enhancementin tutte le fasi anche dopo il flash che rompe le bolle si puo’ notare la completa assenza di riperfusione
Terapia
desametazone
florinef
impressionante risposta clinica dopo 24 ore
considerazioni : trattandosi di una necrosi, tutte e tre le zone dovrebbero essere inattive e dare sintomi tipici della carenza di mineral e glucocorticoidi dell’ ipoadrenocorticismo primario , le analisi non vanno verso tale direzione gli elettroliti hanno uno spostamento minimo e il sodio nel range.
caso 2
Labrador maschio 8 anni anoressia da 10 gg , evidente dimagramento ,esame ecografico eseguito presso altro studio denunciava aumento delle surrenali , vomito saltuario debolezza ,ipotonia muscolare
emocromo :20161012_sos_dea_emo_16l1555
questo non e’ certo un emogramma riferibile ad Addison , ci sono evidenti segni infiammatori ,nell addison l’anomalia ematologica più diffusa nel cane è l’assenza di un leucogramma da stress (incremento dei neutrofili senza spostamento a sinistra e diminuzione dei linfociti e degli eosinofili, come risultato di stress sistemici), un reperto anormale in presenza di una malattia sistemica. Anche qui rimane difficile spiegare questa discrepanza ma l’ addison viene non a caso definito il gran bugiardo .
biochimico:20161012_sos_dea_bio_16l1555
Qui ci sono le alterazioni elettrolitiche tipiche dell addison e l innalzamento dei valori renali indotti dalla ipoperfusione.
ormonale:20161013_sos_dea_ormonali_16l1555
si conferma ipoadrenocorticismo
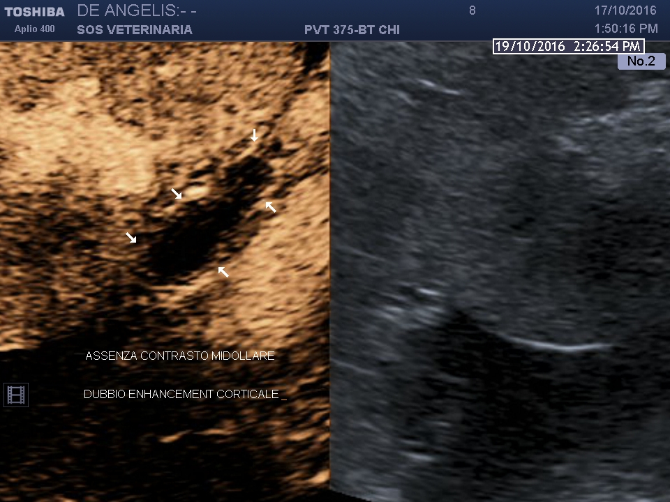
Esame ecografico.
evidente iperplasia ,morfologia conservata
esame ecografico ceus
evidente assenza di enhancementin tutte le fasi forse un debole presa di contrasto sottocapsulare in periferia
eseguita terapia desametazone florinef e antibiotici
miglioramento in 48 ore graduale e progressiva ripresa del soggetto fino a normalizzazione del quadro analitico e clinico
Esame ecografico eseguito dopo 4 mesi dalla diagnosi
la riduzione del volume ghiandolare e’ impressionante ,non si visualizza piu’ la surrenale un attenta valutazione la individua con diametri di appena 1,9 al polo craniale e 3,8 al polo caudale (atrofia post necrosi)


decisamente un altro cane
Conclusioni
Questi casi ,insegnano molto, sopratutto a non fermarsi mai di fronte alle apparenze e alle nostre convinzioni , la ceus ,si dimostra ancora una volta ,un aiuto formidabile di pronto utilizzo , non invasivo a disposizione del clinico ,queste immagini sono un invito a continuare.




