Labrador di 9 anni ,maschio ,presentato alla visita per vomito e inappetenza, lieve depressione del sensorio ,ottimo stato di nutrizione ,soggetto molto curato con controlli clinici sempre eseguiti ,nell anamnesi remota nulla di significativo.
esame ecografico addome




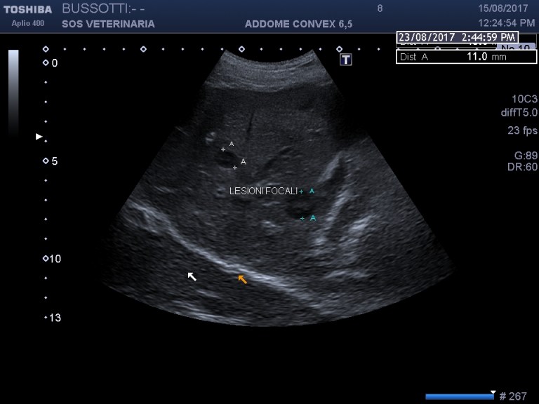
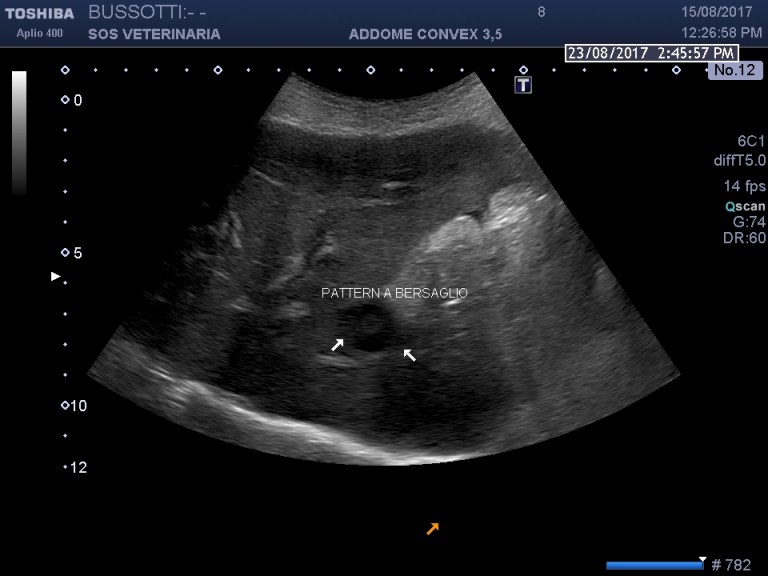
Evidenti alterazioni epatiche, colpisce la lesione focale a bersaglio,l irregolarita’ del profilo lobare ,il volume stimato aumentato ,la difficolta’ ad evidenziare le aree ventrali che sembrano essere ipoecogene e irregolari ,nel filmato verso gli ultimi frame si apprezza una massa retrogastrica verosimilmente linfocentrica meno probabile l interessamento del corpo pancreatico,
evidente la falda di fluido libero in addome campionata risultata essere ematica
eseguiti esami del sangue completi di coagulazione
emogramma
20170816_SOS_bussotti_Emo_17H1474
coagulativo
20170816_SOS_bussotti_Coag_17H1474
20170816_SOS_bussotti_Bio_17H1474
la lettura delle analisi mostra un incremento severo non solo delle transaminasi epatiche ma anche delle muscolari cio’ farebbe pensare a ipoperfusione (il paziente potrebbe avere avuto uno shock ) il coagulativo e’ suggestivo di una DIC compensata ,presente una lieve anemia e iperbilirubinemia verosimilmente espressione di aumentata produzione per la perdita ematica . L aumento delle transaminasi ha valori molto simili a quelli che si riscontrano in corso di epatite tuttavia il paziente non mostrava segni clinici compatibili eccetto debolezza e anoressia null’altro, lo stesso vomito ,comparso inizialmente, era scomparso rapidamente
la mastocitosi circolante ha purtroppo orientato il diagnostico verso una forma metastatica confermata dalla ceus e dalla citologia


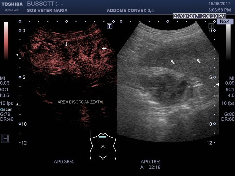
osservando la contrastografia ceus si evidenzia a livello epatico ipoenhancement anhancement delle lesioni focali tondeggianti e delle aree ventrali disorganizzate in tutte le fasi
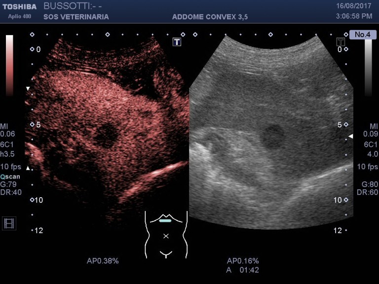
il nodulo sul bordo splenico assume contrasto e lo dismette rapidamente rispetto al parenchima splenico rimanendo ipoenhancement
la contrastografia ,in questo caso non e’ stata essenziale per la diagnosi (l imaging in B mode era molto significativo) ma ha evidenziato la severita’ delle lesioni epatiche ,confermato la natura metastatica della malattia ,un eccezionale supporto quindi , ad una diagnosi ,fortemente sospetta che ha permesso ,in un momento non facile per il proprietario sopratutto e secondariamente per il medico curante, di prendere consapevolezza della gravita’ della malattia e accelerare l’ iter decisionale post diagnostico .
Purtroppo ,non e’ stato possibile eseguire nessuna terapia il paziente e’ rapidamente peggiorato e si e’ deciso per l eutanasia .