Beagle maschio di circa 13 anni ,debolezza,mucose meno rosee, lieve inappetenza ,esame ecografico evidenzia una massa splenica ,no versamento ,rare lesioni focali epatiche.
esami di laboratorio preintervento:
primo emocromo pre interventoprimo
l ‘emogramma evidenzia una anemia normocitica normocromica non rigenerativa con marker infiammatori significativi ed elevati
l aumento della fosfatasi e della proteina C sono anch essi marker infiammatori ,la ALT non appare interessata
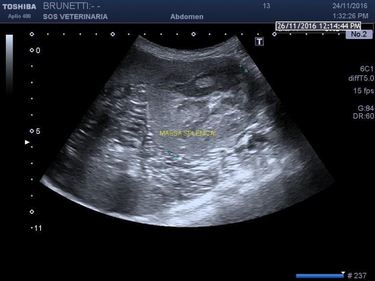
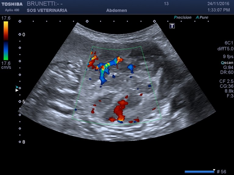
Esame ecografico


massa (circa 6 cm) situata caudalmente verso la coda dell organo eterogena nelle porzioni centrali ,omogena e simile al parenchima sano alla periferia , ben demarcata ,interrompe bruscamente il profilo dell organo,segnali colore doppler moderati non distribuiti omogeneamente e uniformemente

lesione focale ecogena epatica ecogena
ESAME CEUS
fase iniziale e intermedia
fase tardiva
fegato
interpretazione
la milza assume il contrasto in fase precoce e intermedia con un pattern da sufficientemente omogeneo a debolmente disomogeneo (la descrizione dell enhancement non e’ sempre facile, rimane un margine soggettivo legato alla nostra percezione ), non sembra anticipare l enhancement rispetto al parenchima sano (alcuni difetti dell enhancement ventrale dell organo sono legati ad un contatto sonda pelle non ottimale e ad un piccolo difetto della sonda (convex da 3,5 ad ampia superficie) , piu’ chiaro l’ enhancemen tardivo nettamente e progressivamente ipo ,con demarcazione tra parenchima lesionato e sano piuttosto demarcata e dai bordi irregolari .
la ceus epatica non lascia spazio a molte interpretazioni lesioni ipo progressivamente sempre piu’ marcatmente lavate sono suggestive di metastasi e malignita’
emocromo post intervento e post trasfusione (1)
il paziente e’ deceduto dopo circa un mese ,eseguita anche una trasfusione ed un nuovo emocromo ( persistono marker infiammatori e una correzione dell anemia non completa) , comparsa di dispnea e metastasi polmonari,sul piano clinico ,dopo l intervento, non ha avuto mai una buona ripresa a testimonianza della natura sistemica delle lesioni .
Le cattive condizioni del paziente non responsivo anche al cortisone hanno sconsigliato la chemio per’altro non accettata dal proprietario.
Ma il fibroistiocitoma piuttosto comune puo’ essere cosi’ aggressivo ?
Molti splenectomizzati con esame istopatologico diagnostico di un nodulo fibroistiocitario (non certo raro) sono sopravvissuti a lungo come mai in questo caso l ‘esito e’ stato cosi’ drammatico ?
Rivedendo il caso a piu’ di un anno di distanza , mi sono venuti dei dubbi e ho richiesto una consulenza alla istopatologa di riferimento , fornendo la cartella clinica ,quest’ultima ha suggerito, sulla base delle nuove classificazioni e acquisizioni in campo, un inquadramento differente, spostando la diagnosi verso una forma di SARCOMA ISTIOCITARIO , molto piu’ coerente con il decorso clinico del paziente .
Le tecniche immunoistochimiche sono cambiate (oggi hanno a disposizione nuovi anticorpi che funzionano meglio sul tessuto paraffinato) e possono meglio definire il carattere della malignita’(sarcoma)
Insomma scopriamo che una neoplasia puo’ essere inquadrata differentemente a seconda delle tecniche utilizzate (in continua evoluzione) e che non sempre la correlazione tra esame istopatologico e decorso clinico della malattia e’ presente, in questo caso era doverosa la segnalazione all istopatologo.
L’ istopatologia delle forme istiocitarie e’ piuttosto complessa e solo oggi il quadro si fa piu’ chiaro
il seguente lavoro delinea chiaramente le nuove classificazioni e inquadramenti sopratutto riguardo la prognosi dei tumori istiocitari
http://onlinelibrary.wiley.com/doi/10.1111/j.1939-1676.2012.00986.x/full
un breve estratto:
Noduli fibroistochimici splenici (SFHN) sono comunemente diagnosticati. Si sospetta che questi rappresentino un gruppo eterogeneo di malattie maligne e non maligne, la cui separazione potrebbe migliorare la capacità dei clinici di prognosticare per i cani.
Ipotesi / Obiettivi
L’immunoistochimica differenzia le diagnosi istologiche all’interno del gruppo di SFHN; la sopravvivenza dopo splenectomia è associata a quei tipi istologici.
Animali
Trentadue cani con SFHN trattati da o sotto la direzione di veterinari oncologi.
metodi
Analisi retrospettiva di casi clinici da cani seguiti da splenectomia fino alla morte. Dati clinici, istopatologici e immunoistochimici analizzati per un’associazione con il tempo di sopravvivenza.
risultati
Trentadue cani avevano l’SFHN; grado 1 (2 cani), grado 2 (9 cani) e grado 3 (percentuale linfoide <40%, 21 cani). Venti-due cani sono morti, 10 sono stati censurati (9 mediani vivi di 883 giorni dopo splenectomia). La sopravvivenza globale mediana è stata di 387 giorni e l’SFHN di grado 3 è stata positivamente associata al tempo di sopravvivenza come precedentemente riportato ( P <0,001). Dei 31 campioni disponibili, i cani presentavano malattie riclassificate come iperplasia nodulare (13, 8 complessi, 5 linfoidi di cui 2 zone marginali), linfoma (4, 2 linfoma a zona marginale, 1 linfoma a cellule B di alto grado e 1 zona marginale transitoria ad alta linfoma a cellule B di grado), 8 sarcomi stromali e 6 sarcomi istiocitici. I cani con sarcoma istiocitico presentavano una sopravvivenza peggiore (in media 74 giorni) rispetto ai cani con altre malattie.
Conclusioni e importanza clinica
Il sarcoma istiocitico splenico è una malattia aggressiva; tuttavia, alcuni cani con sarcomi stromali avevano lunghi tempi di sopravvivenza. Il termine SFHN non è più giustificato per questo gruppo di disturbi.
Considerazioni
E’ utile rivedere i nostri casi clinici rinforza o indebolisce le nostre convinzioni ci permette di crescere .
Riguardo il caso alcune conclusioni
- la ceus aveva, purtroppo, gia’ comunicato la malignita’ del processo sopratutto a livello epatico dove la sensibilita’ e specificita’ si mantiene sempre molto elevata,per certi aspetti e’ stupefacente a fronte della sua non invasivita’ come abbia indicato la prognosi del paziente meglio alla luce dei fatti dell esame istopatologico
- per la mia esperienza non e’ la prima volta che manca correlazione tra malignita’ del processo ed esame istopatologico ,in questo, dobbiamo essere collaborativi e sinergici con gli oncologi che queste cose le sanno e loro, ovviamente con noi,lo stesso con i radiologi che si occupano di TAC (avviso una cattiva informazione riguardo questo prezioso strumento ,ha il pregio della panoramicita’ ma nessuna specificita’ e sensibilita’ superioriore all esame ecografico (ovviamente per l’addome)
- non fermarsi mai alle apparenze, sopratutto quando qualcosa non torna, approfondire anche quando il paziente non c’e’ piu’, potrebbe essere molto utile per il prossimo .